Wichtiger Sicherheitshinweis:
Pathorama wurde zwischen dem
26. und 27. Dezember 2025
angegriffen. Falls Sie die Website in diesem Zeitraum besucht haben, lesen Sie bitte die wichtigen Informationen hier:
Zur Information
Pathopic
HiPaKu
ZyPaKu
Projektinfos
PathoPic - Projekt- und Copyright-Info
About
Pathopic
HiPaKu
ZyPaKu
PathoPic – image database
/
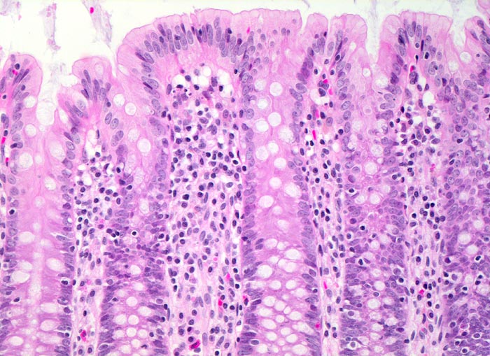
PathoPic ID 4145 - normale Appendixschleimhaut
de
Diagnose
normale Appendixschleimhaut
Diagnose Gruppe
Normalbefund
Topographie
Appendix vermiformis
Topographie Gruppe
Darm, Anus
Beschreibung
Kolonmukosa mit regelmässig ausgerichteten Krypten. Lockeres lymphoplasmazelluläres und histiozytäres Entzündungsinfiltrat im Stroma.
Klinik
Gelegenheitsappendektomie.
Bilder Typ
Histologie
Vergrösserung
200
Alter
33
Geschlecht
unbekannt
Datum
Ersteintrag: 04.03.2002
CPS
·
©
2025 Institut für Pathologie Basel
/
Dr. med. Katharina Glatz-Krieger
.
·
v2.2