Wichtiger Sicherheitshinweis:
Pathorama wurde zwischen dem
26. und 27. Dezember 2025
angegriffen. Falls Sie die Website in diesem Zeitraum besucht haben, lesen Sie bitte die wichtigen Informationen hier:
Zur Information
Pathopic
HiPaKu
ZyPaKu
Projektinfos
PathoPic - Projekt- und Copyright-Info
About
Pathopic
HiPaKu
ZyPaKu
PathoPic – image database
/
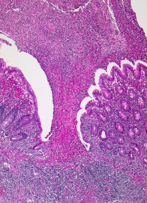
PathoPic ID 3431 - akute eitrige ulzerophlegmonöse Appendizitis: Ulkus
de
Diagnose
akute eitrige ulzerophlegmonöse Appendizitis: Ulkus
Diagnose Gruppe
Entzündung / Reparatur
Topographie
Appendix vermiformis
Topographie Gruppe
Darm, Anus
Beschreibung
Oberflächliches Ulkus der Schleimhaut. Appendixlumen gefüllt mit Eiter.
Zusatzbefund
-
Klinik
Seit 6 Stunden Schmerzen im Unterbauch rechts mit zunehmender lokaler Druckempfindlichkeit. Übelkeit.
Bilder Typ
Histologie
Vergrösserung
25
Alter
8
Geschlecht
männlich
Datum
Ersteintrag: 17.12.2001
Update: 02.11.2005
CPS
·
©
2025 Institut für Pathologie Basel
/
Dr. med. Katharina Glatz-Krieger
.
·
v2.2