Wichtiger Sicherheitshinweis: Pathorama wurde zwischen dem 26. und 27. Dezember 2025 angegriffen. Falls Sie die Website in diesem Zeitraum besucht haben, lesen Sie bitte die wichtigen Informationen hier:
Zur Information

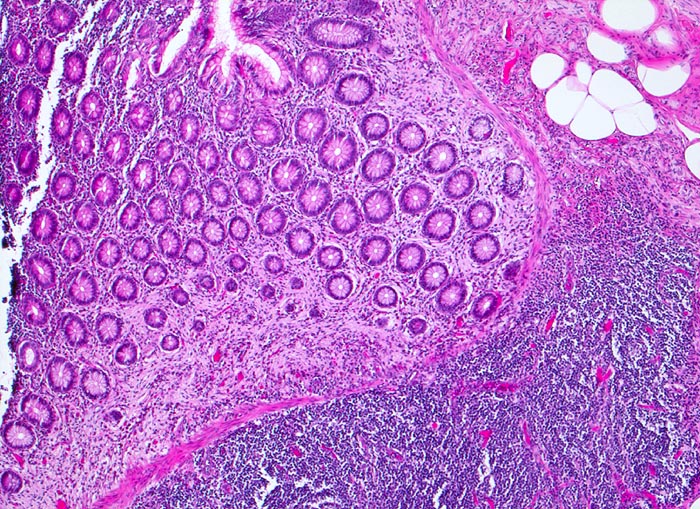
PathoPic – image database / PathoPic ID 3393 - neurogene Appendikopathie Mukosaform

de
Diagnose
neurogene Appendikopathie Mukosaform
Diagnose Gruppe
organspezifische Erkrankung
Topographie
Appendix vermiformis
Topographie Gruppe
Darm, Anus
Beschreibung
In den basalen Abschnitten ersetzt auffallend helles lockeres Gewebe die Kolonkrypten (proliferierte Nervenfasern).
Klinik
Gelegenheitsappendektomie bei Harnblasenresektion wegen Urothelkarzinom.
Kommentar
Die neurogene Appendikopathie existiert in einer intramucosalen Form, als zentrales Neurom in einer narbig obliterierten Appendixspitze oder als neuromuskuläre Proliferation in der Submucosa.
Bilder Typ
Histologie
Vergrösserung
50
Alter
60
Geschlecht
männlich
Datum
Ersteintrag: 17.12.2001
Update: 29.10.2009