Wichtiger Sicherheitshinweis: Pathorama wurde zwischen dem 26. und 27. Dezember 2025 angegriffen. Falls Sie die Website in diesem Zeitraum besucht haben, lesen Sie bitte die wichtigen Informationen hier:
Zur Information

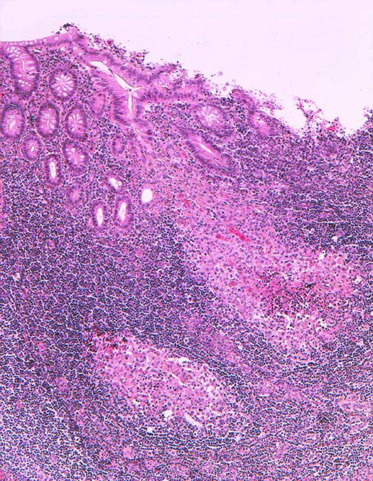
PathoPic – image database / PathoPic ID 1223 - Retikulozytär abszedierende Entzündung bei Yersiniose

de
Diagnose
Retikulozytär abszedierende Entzündung bei Yersiniose
Diagnose Gruppe
Entzündung infektiös
Topographie
Appendix vermiformis
Topographie Gruppe
Darm, Anus
Beschreibung
Ansammlung von Histiozyten mit zentraler granulozytärer Abszedierung im Stroma der Mucosa. Das Epithel ist intakt.
Zusatzbefund
Eitrige Peritonitis.
Klinik
Appendizitis.
Kommentar
Der histologische Befund ist charakteristisch aber nicht beweisend für eine Yersiniose. Dazu braucht es den zusätzlichen Nachweis von Yersinia pseudotuberculosis im Stuhl oder serologisch. Typisch ist die mesenteriale Lymphadenitis.
Bilder Typ
Histologie
Alter
9
Geschlecht
weiblich
Datum
Ersteintrag: 04.12.2001
Update: 10.03.2004