Wichtiger Sicherheitshinweis: Pathorama wurde zwischen dem 26. und 27. Dezember 2025 angegriffen. Falls Sie die Website in diesem Zeitraum besucht haben, lesen Sie bitte die wichtigen Informationen hier:
Zur Information

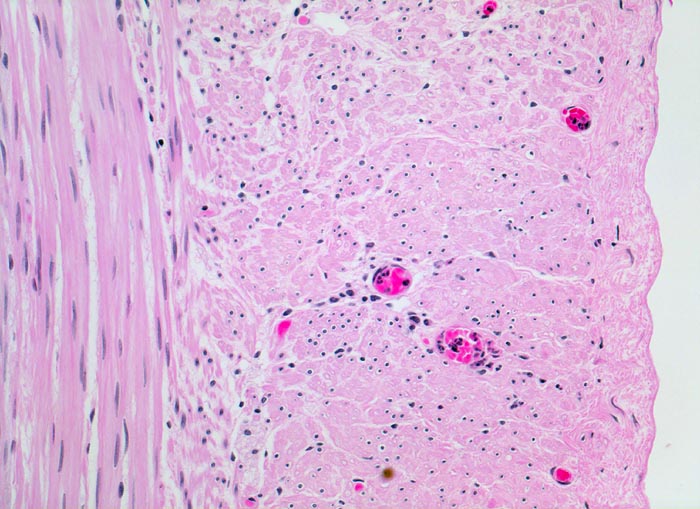
PathoPic – image database / PathoPic ID 4146 - Muscularis propria der Appendix

de
Diagnose
Muscularis propria der Appendix
Diagnose Gruppe
Normalbefund
Topographie
Appendix vermiformis
Topographie Gruppe
Darm, Anus
Beschreibung
Links die innere zirkuläre Schicht der Muscularis propria (Tunica muscularis), rechts davon die äussere longitudinale Schicht. Kleine Gefässe mit intraluminalen Granulozyten (operativ bedingt). Keine Auflagerungen auf der Serosa.
Klinik
Gelegenheitsappendektomie.
Bilder Typ
Histologie
Vergrösserung
200
Alter
33
Geschlecht
unbekannt
Datum
Ersteintrag: 04.03.2002