Wichtiger Sicherheitshinweis: Pathorama wurde zwischen dem 26. und 27. Dezember 2025 angegriffen. Falls Sie die Website in diesem Zeitraum besucht haben, lesen Sie bitte die wichtigen Informationen hier:
Zur Information

Basel 1MA/ Klarzelliges Nierenzellkarzinom

Diagnose
Klarzelliges Nierenzellkarzinom
Diagnose Gruppe
maligner Tumor
Differenzialdiagnose
  • - Metastase eines klarzelligen Adenokarzinoms- Nebennierenrindenkarzinom
Topographie Gruppe
Niere, Harnwege
Topographie
Niere
Einleitung
Histogenese:
Nierentumoren können sich von unterschiedlichen Komponenten des Nierenparenchyms (zahlreiche Subtypen von Adenokarzinomen, selten mesenchymale Tumoren) oder vom Urothel des Nierenbeckens ableiten. Die Nomenklatur basiert auf histologischen Zellmerkmalen (z.B. klarzelliges und chromophobes Karzinom (> 1325)), architektonischen Merkmalen (papilläres Nierenzellkarzinom (> 4171) (> 155)), der anatomischen Lokalisation (z.B. Sammelrohrkarzinom (> 2774)), der Grunderkrankung der Restniere (Nierenzellkarzinom assoziiert mit erworbener Zystenniere) oder molekularen Veränderungen (z.B. Familiäres Translokationskarzinom).

Morphologie:
Klarzellige (alte Bezeichnung: hellzellige) Nierenzellkarzinome sind mit einem Anteil von etwa 75% der häufigste Typ. Es ist charakterisiert durch Tumorezellen mit einem klaren und/oder eosinophilen Zytoplasma, bevorzugt solidem Wachstumsmuster und ausgeprägter Vaskularisation. Das helle Zytoplasma der Tumorzellen und der pflanzenzellartige Aspekt resultieren aus ihrem hohen Glykogen- und Neutralfettgehalt (> 22).
Die Schnittfläche der meist solitären klarzelligen Karzinome ist hellgelb bis grauweiss, oftmals mit Nekrosen, Blutungen und Zystenbildung. Dadurch entsteht das charakteristische „bunte“ Bild dieser Tumoren. Nierenkarzinome bilden zum angrenzenden Parenchym teilweise eine Pseudokapsel. Grosse Tumoren können in das perirenale Fettgewebe, das Nierenbecken oder nicht selten die Nierenvene einbrechen. In Einzelfällen entstehen Tumorthromben in der Vena cava, die bis in den rechten Herzvorhof reichen können. Wegen der Ähnlichkeit der Tumorzellen mit den Zellen der Nebennierenrinde wurden klarzellige Nierenzellkarzinome früher als „Hypernephrom“ bezeichnet.

Grading:
Klarzellige und papilläre Nierenzellkarzinome werden seit 2016 nach dem Gradingsystem der WHO/International Society of Urological Pathology (ISUP) gradiert in die Grade 1-4. Das frühere Gradingsystem nach Fuhrman sollte nicht mehr verwendet werden. Die Grade 1-3 basieren auf der Beurteilung der Grösse der Nukleolen. Grad 4 wird vergeben für Tumoren mit sarkomatoider oder rhabdoider Differenzierung und/oder ausgeprägter Zellpleomorphie mit Tumorriesenzellen. Für die anderen Subtypen gibt es keine Gradierungssysteme.

Molekularpathologie:
Etwa 4% der Nierentumoren weisen eine hereditäre Genese auf. Alle häufig auftretenden Nierentumorsubtypen können Bestandteil eines hereditären Nierentumorsyndroms sein. In diesen Fällen weist die positive Familienanamnese, multiples, bilaterales Auftreten sowie eine Tumormanifestation in jungen Jahren (ab Kindesalter) auf das erbliche Tumorleiden hin. Das klarzellige Nierenzellkarzinom kann auftreten im Rahmen des von Hippel-Lindau- (VHL) Syndroms, des konstitutionellen Chromosom-3-Translokationssyndroms (sog. Translokationskarzinome) oder des Klarzelligen Nierenzellkarzinom-Syndroms. Für Entstehung und Verlauf sporadischer Nierenkarzinome sind komplexe genomische Veränderungen verantwortlich.

Prognose und Verlauf:
Eine sarkomatoide Differenzierung innerhalb der verschiedenen Tumortypen der Niere geht mit einem erhöhten Progressionsrisiko einher. Das Vorliegen von Tumornekrosen ist bei klarzelligen Karzinomen prognostisch ebenfalls ungünstig. Die wichtigsten Prognoseparameter stelen der Differenzierungsgrad und die Stadieneinteilung dar. Die Metastasierung von Nierenkarzinomen erfolgt meistens hämatogen nach dem Cava-Typ. Oft haben Nierenkarzinome bereits vor Diagnosestellung metastasiert. Metastasen werden häufig in Lungen (über 75%), Knochen (ca. 40%), Leber (30%) (> 1773), Hirn (15%) und Nebennieren (20%) gefunden. Eine lymphogene Metastasierung in die regionären Lymphknoten (Nierenhilus, para-aortal, paracaval) wird in 20% der Fälle beobachtet.

Anmerkung:
Metastasen von Nierenkarzinomen können auch noch viele Jahre nach der Nephrektomie auftreten. Bei Auftreten eines Zweittumors sollte der Pathologe immer über das früher diagnostizierte Nierenzellkarzinom informiert werden, da auch andere Organe primär hellzellige Karzinome ausbilden können (Bsp. Schilddrüse, Speicheldrüse, Pankreas). Das weitere therapeutische Verfahren hängt stark davon ab, ob es sich um ein metastasierendes Nierenzellkarzinom oder um einen zweiten Primärtumor handelt.

update 20. August 2017
Klinik
Vorkommen:
Inzidenz und Mortalität des Nierenzellkarzinoms nehmen im Alter zu und erreichen das Maximum zwischen 60 und 70 Jahren. Die jährliche Inzidenz wird in Europa mit 4 bis 5 pro 100'000 Einwohner angegeben.
Männer sind 2-3x häufiger betroffen als Frauen.

Risikofaktoren:
Risikofaktoren sind Nikotinabusus, Adipositas und Exposition mit organischen Lösungsmitteln.

Symptomatik:
Die klassische Symptomentrias Makrohämaturie, Flankenschmerz und tastbarer Nierentumor tritt nur bei etwa 10% der Patienten auf. In den meisten Fällen ist die Hämaturie das klinisch führende Symptom, begleitet von paraneoplastischen Syndromen wie Polyglobulie (aufgrund von Erythropoetinbildung durch Tumorzellen), Hyperkalzämie, Hypertonie, Cushing-Syndrom, Eosinophilie und leukämischen Reaktionen. Gewichtsverlust, Fieber und Hyperkalzämie weisen auf ein bereits fortgeschrittenes Tumorleiden hin.

Therapie:
Die radikale Resektion bietet praktisch die einzige kurative Chance. Bei kleinen Tumoren kann eine organerhaltende Tumorenukleation erwogen werden. Bei metastasierten Nierenkarzinomen gibt es wenig Therapieoptionen, da das Nierenzellkarzinom strahlenunempfindlich ist und kaum auf eine Chemotherapie anspricht. Bei Entfernung des Primärtumors ist teilweise eine Regression von Metastasen beobachtet worden.

Prognose:
Neuere Therapieansätze mit Tyrosinkinaseinhibitoren (TKI) haben die Prognose des klarzelligen Karzinoms in den letzten Jahren deutlich verbessert. Deshalb ist es wichtig, dass klarzellige Karzinome von anderen Nierentumoren mit hellzelligem Zytoplasma korrekt abgegrenzt werden. Prädiktive Faktoren zur Vorhersage des Ansprechens auf TKI sind bisher noch nicht identifiziert worden.

update 20. August 2017
Normalbefund
Morphologie
Morphologische Merkmale:
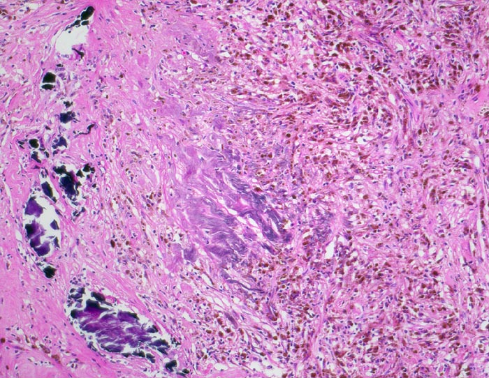
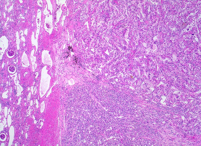
  • Saum von komprimiertem und fibrosiertem Nierenparenchym unmittelbar angrenzend an das Karzinom (makroskopisch als Pseudokapsel imponierend). Übriges nicht-neoplastisches Restnierenparenchym mit leichter tubulointerstitieller Fibrose und Atrophie.
  • Expansiv wachsender, scharf begrenzter knotiger Tumor ohne Durchbruch der Nierenkapsel.
  • Wenig zellarmes Tumorstroma mit Blutungsresiduen.
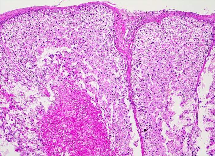
  • Solide Tumorzellaggregate eingefasst von dünnen Bindegewebssepten mit zahlreichen dünnwandigen Blutgefässen.
  • Frische intratumorale Einblutungen und Blutungsresiduen (Siderinpigment)
  • Polygonale Tumorzellen mit reichlich klarzelligem Zytoplasma und deutlichen Zellgrenzen.
  • Hyperchromatische, polymorphe grosse Kerne mit prominenten Nukleolen (entspricht einem Grad 3 nach WHO/ISUP).
Das sollte der Kliniker dem Pathologen mitteilen:
  • Radiologischer Befund.
  • Positive Familienanamnese für Nierenzellkarzinome oder bekanntes Syndrom.
  • Vorbestehende Nierenerkrankung.

update 20. August 2017
Makroskopie
Befund
Pathologischer Befund
Normalbefund
Datum
Ersteintrag: 10.07.2019
Update: 10.07.2019