Wichtiger Sicherheitshinweis:
Pathorama wurde zwischen dem
26. und 27. Dezember 2025
angegriffen. Falls Sie die Website in diesem Zeitraum besucht haben, lesen Sie bitte die wichtigen Informationen hier:
Zur Information
Pathopic
HiPaKu
ZyPaKu
Projektinfos
PathoPic - Projekt- und Copyright-Info
About
Pathopic
HiPaKu
ZyPaKu
PathoPic – image database
/
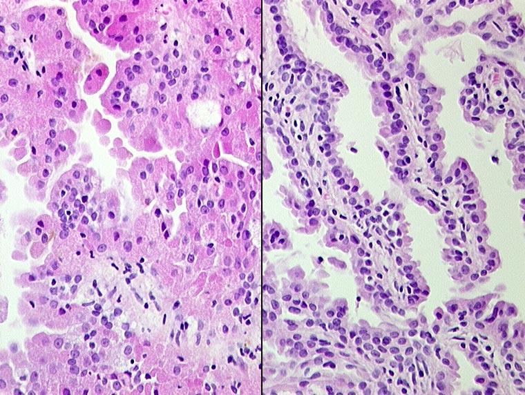
PathoPic ID 155 - Papilläres Nierenzellkarzinom
de
Diagnose
Papilläres Nierenzellkarzinom
Diagnose Gruppe
maligner Tumor
Topographie
Niere
Topographie Gruppe
Niere, Harnwege
Beschreibung
Links im Bild onkozytäre Tumorzellen mit feingranulärem eosinophilem Zytoplasma. Rechts schmale Papillen bedeckt von kubischen Tumorzellen.
Klinik
Im CT 3cm grosser Tumor im Nierenunterpol.
Bilder Typ
Histologie
Alter
65
Geschlecht
männlich
Datum
Ersteintrag: 25.10.2001
CPS
·
©
2025 Institut für Pathologie Basel
/
Dr. med. Katharina Glatz-Krieger
.
·
v2.2