Wichtiger Sicherheitshinweis:
Pathorama wurde zwischen dem
26. und 27. Dezember 2025
angegriffen. Falls Sie die Website in diesem Zeitraum besucht haben, lesen Sie bitte die wichtigen Informationen hier:
Zur Information
Pathopic
HiPaKu
ZyPaKu
Projektinfos
PathoPic - Projekt- und Copyright-Info
About
Pathopic
HiPaKu
ZyPaKu
PathoPic – image database
/
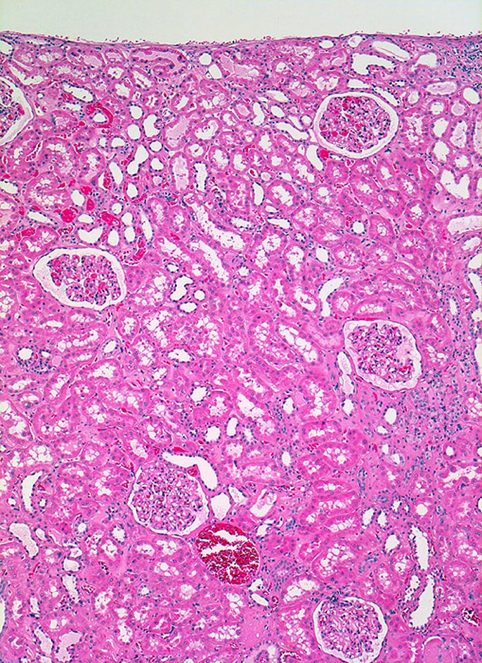
PathoPic ID 3441 - Normale Nierenrinde
de
Diagnose
Normale Nierenrinde
Diagnose Gruppe
Normalbefund
Topographie
Niere
Topographie Gruppe
Niere, Harnwege
Beschreibung
Unauffällige Nierenrinde
Bilder Typ
Histologie
Vergrösserung
50
Alter
64
Geschlecht
männlich
Datum
Ersteintrag: 17.12.2001
CPS
·
©
2025 Institut für Pathologie Basel
/
Dr. med. Katharina Glatz-Krieger
.
·
v2.2