Wichtiger Sicherheitshinweis: Pathorama wurde zwischen dem 26. und 27. Dezember 2025 angegriffen. Falls Sie die Website in diesem Zeitraum besucht haben, lesen Sie bitte die wichtigen Informationen hier:
Zur Information

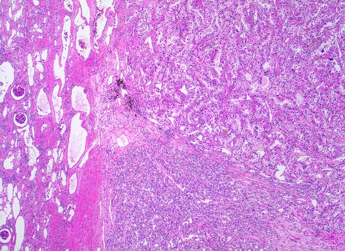
PathoPic – image database / PathoPic ID 4888 - hellzelliges Nierenzellkarzinom

de
Diagnose
hellzelliges Nierenzellkarzinom
Diagnose Gruppe
maligner Tumor
Topographie
Niere
Topographie Gruppe
Niere, Harnwege
Beschreibung
Die Grenze zwischen Karzinom und Nierenparenchym ist scharf und enthält zahlreiche erweiterte Gefässe. Das Karzinom bildet im oberen Anteil drüsige Strukturen, der untere Anteil erscheint solide.
Zusatzbefund
8cm grosser Tumor im Nierenoberpol. Bunte Schnittfläche mit multiplen gelben Knoten, ödematösem Stroma und Einblutungen, sowie fokaler Zystenbildung. Der Tumor infiltriert das Nierenbecken. Die Vena renalis ist tumorfrei.
Klinik
Wiederholte schmerzhafte Makrohämaturie. Im Urin werden Karzinomzellen nachgewiesen. Sonographisch und im Abdomen CT kommt ein Tumor im rechten Nierenoberpol zur Darstellung. Der Patient wird nephrektomiert.
Kommentar
Hellzellige Nierenzellkarzinome zeigen ein expansiv verdrängendes Wachstum an der Tumorinvasionsfront.
Bilder Typ
Histologie
Vergrösserung
25
Alter
57
Geschlecht
männlich
Datum
Ersteintrag: 11.06.2002