Wichtiger Sicherheitshinweis:
Pathorama wurde zwischen dem
26. und 27. Dezember 2025
angegriffen. Falls Sie die Website in diesem Zeitraum besucht haben, lesen Sie bitte die wichtigen Informationen hier:
Zur Information
Pathopic
HiPaKu
ZyPaKu
Projektinfos
PathoPic - Projekt- und Copyright-Info
About
Pathopic
HiPaKu
ZyPaKu
PathoPic – image database
/
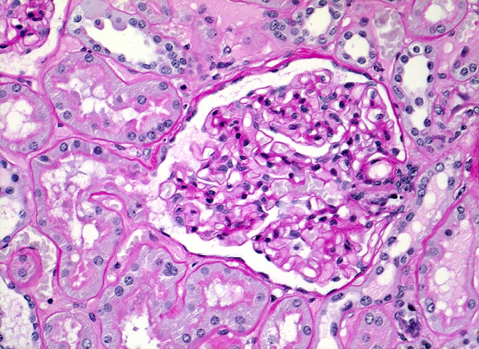
PathoPic ID 3443 - Normale Nierenrinde: Glomerulus mit Harnpol und Gefässpol.
de
Diagnose
Normale Nierenrinde: Glomerulus mit Harnpol und Gefässpol.
Diagnose Gruppe
Normalbefund
Topographie
Niere
Topographie Gruppe
Niere, Harnwege
Beschreibung
Unauffälliger Glomerulus mit
Harnpol (Hauptstück des proximalen Konvoluts) und
Gefässpol. Zarte glomeruläre Basalmembranen und normozelluläres Mesangium. Entzündungsfreier tubulointerstitieller Raum. Zarte tubuläre Basalmembranen.
Bilder Typ
Histologie
Vergrösserung
200
Alter
64
Geschlecht
männlich
Datum
Ersteintrag: 17.12.2001
Update: 28.03.2003
CPS
·
©
2025 Institut für Pathologie Basel
/
Dr. med. Katharina Glatz-Krieger
.
·
v2.2