Wichtiger Sicherheitshinweis:
Pathorama wurde zwischen dem
26. und 27. Dezember 2025
angegriffen. Falls Sie die Website in diesem Zeitraum besucht haben, lesen Sie bitte die wichtigen Informationen hier:
Zur Information
Pathopic
HiPaKu
ZyPaKu
Projektinfos
PathoPic - Projekt- und Copyright-Info
About
Pathopic
HiPaKu
ZyPaKu
PathoPic – image database
/
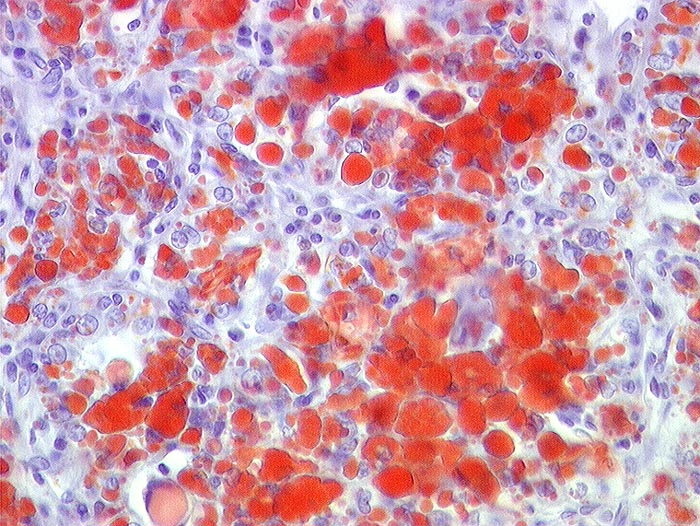
PathoPic ID 22 - Nierenzellkarzinom: intrazellulärer Lipidnachweis
de
Diagnose
Nierenzellkarzinom: intrazellulärer Lipidnachweis
Diagnose Gruppe
maligner Tumor
Topographie
Niere
Topographie Gruppe
Niere, Harnwege
Beschreibung
Mit Sudanrot angefärbte intrazelluläre Lipidtropfen in einem hellzelligen Nierenzellkarzinom
Zusatzbefund
gelber Tumor (Lipid!) mit Einblutungen
Klinik
Nierenzellkarzinom pT1. Zufallsbefund anlässlich Sonographie nach Unfall.
Bilder Typ
Histologie
Alter
68
Geschlecht
männlich
Datum
Ersteintrag: 23.10.2001
CPS
·
©
2025 Institut für Pathologie Basel
/
Dr. med. Katharina Glatz-Krieger
.
·
v2.2