Wichtiger Sicherheitshinweis: Pathorama wurde zwischen dem 26. und 27. Dezember 2025 angegriffen. Falls Sie die Website in diesem Zeitraum besucht haben, lesen Sie bitte die wichtigen Informationen hier:
Zur Information

Basel 3BA HS/ Verkäsende Lymphknotentuberkulose

Diagnose
Verkäsende Lymphknotentuberkulose
Diagnose Gruppe
Entzündung infektiös
Differenzialdiagnose
Topographie Gruppe
Lymphatische Gewebe, KM, Milz
Topographie
Lymphknoten, Kopf-cervikal
Einleitung
Aetiologie:
Bei einer Erstinfektion mit Tuberkulosebakterien kommt es bei 5% innerhalb einiger Wochen oder Monate zu einer Progression der Primärtuberkulose, bei 5% nach einer längeren Zeitperiode (Reaktivierung). In 15% dieser Fälle handelt es sich dabei um eine extrapulmonale Manifestation. Die extrapulmonale Tuberkulose betrifft in abnehmender Reihenfolge extrathorakale Lymphknoten (11%), Pleura (8%), intrathorakale Lymphknoten (6%), Urogenitaltrakt (4%), Peritoneum (3%), disseminierte Tuberkulose (2%), Wirbelsäule (2%), Knochen (ohne WS) (2%), ZNS (1%) und Sonstige (1%). 95% der zervikalen Lymphknotentuberkulosen werden bei Erwachsenen durch Mykobakterien verursacht, welche aerogen übertragen werden. Bei Kindern sind dagegen 92% der Erkrankungen auf atypische Mykobakterien zurückzuführen. Die atypische Mykobakteriose wird in der Regel nicht von Mensch zu Mensch übertragen. Atypische Mykobakterien sind ubiquitär vorhanden und nicht obligat pathogen. Die periphere Lymphknotentuberkulose ist die häufigste Form der extrapulmonalen Tuberkulose (5% aller Tuberkulosen). Sie betrifft mehrheitlich die zervikalen Lymphknoten. Oft handelt es sich dabei um eine Reaktivierung, wobei der Primärinfekt Jahre zurückliegen und ohne Residuen abgeheilt sein kann. Daneben ist eine Neuinfektion auf direktem Weg mit Eintrittspforte im Bereich des Zahnfleisches oder der Tonsillen möglich.

Morphologie:
Bei der Tuberkulose sind meist verkäsende Granulome nachweisbar. Die atypische Mykobakteriose bildet lediglich angedeutete Granulome mit wenig Riesenzellen und keine oder minimale verkäsende Nekrosen. Bei immunsupprimierten Patienten finden sich grossleibige histiozytäre Zellen (> 3728), welche massenhaft säurefeste Stäbchen enthalten. Die histologische Unterscheidung von Mycobacterium tuberculosis und atypischen Mykobakterien gelingt jedoch nicht zuverlässig (> 726) (> 264). Für die definitive Diagnose ist der kulturelle Nachweis notwendig, welcher allerdings bei atypischen Mykobakterien sehr schwierig ist.
Klinik
Vorkommen:
Die Tuberkulose hat in der Schweiz und in westlichen Ländern im Verlauf des 20. Jahrhunderts ständig an Häufigkeit abgenommen. Besonders häufig betroffen sind Immigranten aus der 3. Welt, Süd- und Osteuropa und HIV- infizierte Patienten. Die Tuberkulose kann in allen Altersgruppen auftreten und ist häufiger bei Frauen.

Symptomatik:
Nur die Hälfte der Patienten mit zervikaler Lymphadenopathie weist systemische Symptome (Fieber, Gewichtsverlust, Nachtschweiss) auf. Die lokalen Beschwerden (schmerzlose vergrössernde fluktuierende Masse ev. mit Fistelbildung) stehen im Vordergrund.

Diagnostik:
Bei einem Drittel finden sich beidseits vergrösserte Lymphknoten. Das Thoraxröntgenbild ist in der Hälfte der Fälle unauffällig. Wegen der Interpretationsschwierigkeit des Mantoux Tests (geringe Sensitivität und Spezifität) werden vermehrt Bluttests durchgeführt, welche die Interferon Ausschüttung stimulierter T-Lymphozyten messen (TSPOT. TBTest oder QuantiFERONTBGoldTest). Der Interferon Test hat einen signifikant tieferen prozentualen Anteil an falsch negativen Resultaten im Vergleich zum Mantoux Test. Die positiven Resultate sind jedoch sowohl beim Tuberkulintest als auch beim Interferon Test bei der Miliartuberkulose tiefer als bei anderen extrapulmonalen Manifestationen der Tuberkulose. Bei aktiver extrapulmonaler Tuberkulose zeigt der Interferontest eine Sensitivität von 86% und Spezifität von 84% im Vergleich zum Mantoux mit 57% bzw. 49%. Weder der MantouxTest noch die Bluttests können aber zwischen einer aktiven und einer latenten Tuberkulose unterscheiden. Für die sichere Diagnose einer aktiven extrapulmonalen Tuberkulose muss deshalb ein Feinnadelpunktat oder Biopsiematerial (Mikrobiologie und Histologie) gewonnen werden. Nur die Materialgewinnung erlaubt auch eine Resistenzprüfung (Antibiogramm). Die chirurgische Exzisionsbiopsie ist erst bei negativen Resultaten der Feinnadelpunktion (zytologisch und kulturell) angezeigt. Die mikrobiologische Diagnostik (Direktpräparat mit Ziehl Neelsen oder Auraminfärbung, Kultur und/oder PCR auf Mykobakterien Komplex) ist von entscheidender Bedeutung für die Diagnose und Therapie.

Therapie:
Die Therapie ist medikamentös. Die Operation führt oft zu Rezidiven und Fistelbildungen und bleibt reserviert für die fortgeschrittene oder persistierende lokale Erkrankung oder bei Fistelbildungen.

Atypische Mykobakteriose:
Die atypische Mykobakteriose tritt bei Kleinkindern von 1 bis 5 Jahren auf. Es besteht eine schmerzlos vergrösserte, nicht überwärmte fluktuierende Masse am Hals ohne systemische Symptome. Die Haut über den Lymphknoten ist violett verfärbt. Das Thoraxröntgenbild ist unauffällig. Der Mantoux Test ist schwach positiv oder negativ. Eine Tuberkuloseexposition hat anamnestisch nicht bestanden. Atypische Mykobakterien zeigen in der Kultur spezifische Wachstumscharakteristika und bilden Pigmente. Eine etablierte medikamentöse Therapie besteht nicht. Die Exzisionsbiopsie ist in der Regel kurativ.

update 30. August 2012
Normalbefund
Morphologie
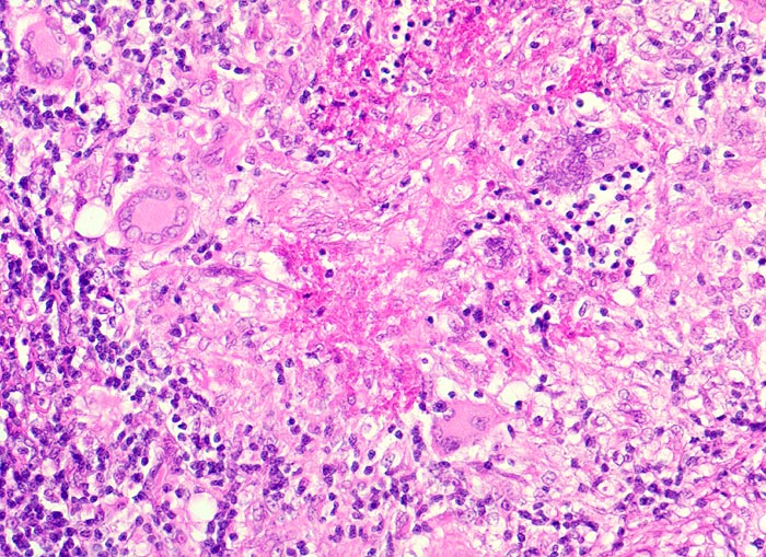
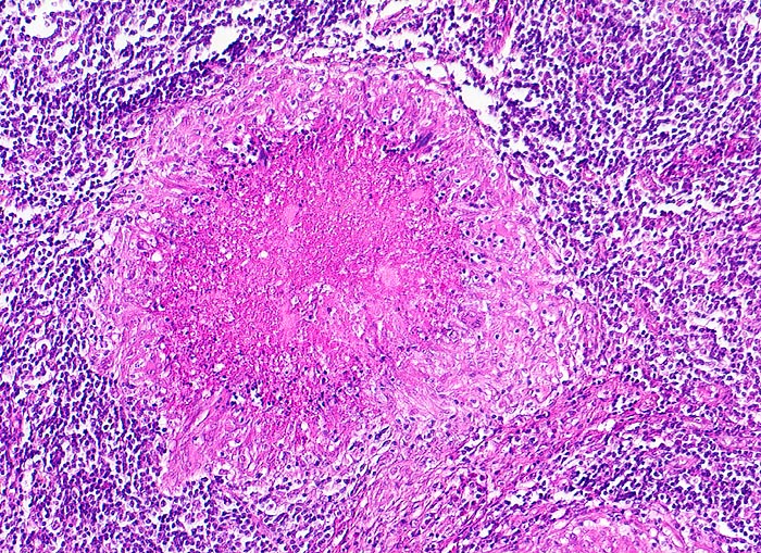
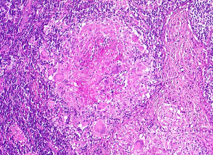
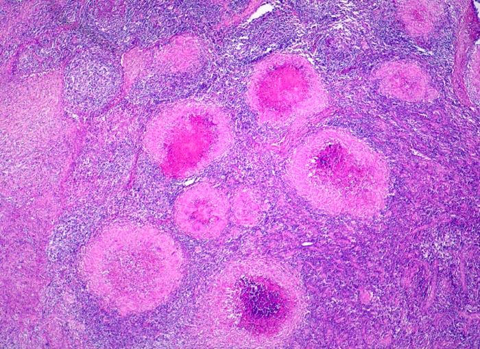
Morphologische Merkmale:
  • Lymphknoten mit ausgedehnten konfluierenden eosinophilen Nekrosezonen und nur wenig erhaltenem Lymphknotengewebe (blau).
  • In den grösseren Nekrosearealen sind Kerntrümmer von neutrophilen Granulozyten erkennbar.
  • Demarkierung der Nekroseareale durch schlanke Epitheloidzellen, Riesenzellen vom Langhanstyp mit hufeisenförmig angeordneten Kernen und Lymphozyten.
Das sollte der Kliniker dem Pathologen mitteilen:
  • Tuberkuloseverdacht, Tuberkuloseanamnese.
  • Erregernachweis.
Praxis-Tipp:
  • Materialentnahme für die Bakteriologie vor Fixation.
Makroskopie
Virtuelles Präparat
Befund
Pathologischer Befund
Normalbefund
Datum
Ersteintrag: 04.11.2018
Update: 04.11.2018