Wichtiger Sicherheitshinweis:
Pathorama wurde zwischen dem
26. und 27. Dezember 2025
angegriffen. Falls Sie die Website in diesem Zeitraum besucht haben, lesen Sie bitte die wichtigen Informationen hier:
Zur Information
Pathopic
HiPaKu
ZyPaKu
Projektinfos
PathoPic - Projekt- und Copyright-Info
About
Pathopic
HiPaKu
ZyPaKu
PathoPic – image database
/
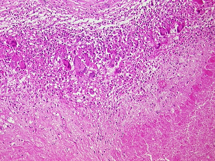
PathoPic ID 726 - Atypische Mykobakteriose
de
Diagnose
Atypische Mykobakteriose
Diagnose Gruppe
Entzündung infektiös
Topographie
Lymphknoten, abdominal
Topographie Gruppe
Lymphatische Gewebe, KM, Milz
Beschreibung
Mesenteriale Lymphknoten mit verkäsenden Granulomen aus Epitheloidzellen und Riesenzellen.
Zusatzbefund
Nachweis von Mycobacterium avium intracellulare
Klinik
AIDS. HIV Positivität bekannt seit 2 Jahren bei iv Drogenabusus. Pneumocystis carinii Pneumonie.
Bilder Typ
Histologie
Alter
38
Geschlecht
unbekannt
Datum
Ersteintrag: 19.11.2001
CPS
·
©
2025 Institut für Pathologie Basel
/
Dr. med. Katharina Glatz-Krieger
.
·
v2.2