Wichtiger Sicherheitshinweis:
Pathorama wurde zwischen dem
26. und 27. Dezember 2025
angegriffen. Falls Sie die Website in diesem Zeitraum besucht haben, lesen Sie bitte die wichtigen Informationen hier:
Zur Information
Pathopic
HiPaKu
ZyPaKu
Projektinfos
PathoPic - Projekt- und Copyright-Info
About
Pathopic
HiPaKu
ZyPaKu
PathoPic – image database
/
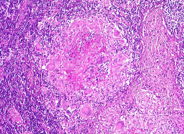
PathoPic ID 4010 - Lymphknotentuberkulose: verkäsendes Granulom und Vernarbung
de
Diagnose
Lymphknotentuberkulose: verkäsendes Granulom und Vernarbung
Diagnose Gruppe
Entzündung infektiös
Topographie
Lymphknoten, Kopf-cervikal
Topographie Gruppe
Lymphatische Gewebe, KM, Milz
Beschreibung
Links im Bild ein zentral verkäsendes Granulom mit Langhans Riesenzellen. Rechts davon Vermehrung von Kollagenfasern.
Klinik
Konglomerattumor am Hals mit Fistelbildung bei Patient aus Zimbabwe.
Kommentar
Tuberkulosegranulome können durch zunehmende Produktion von Kollagenfasern vernarben. Die Nekroseareale können verkalken.
Bilder Typ
Histologie
Vergrösserung
100
Alter
15
Geschlecht
männlich
Datum
Ersteintrag: 13.01.2002
CPS
·
©
2025 Institut für Pathologie Basel
/
Dr. med. Katharina Glatz-Krieger
.
·
v2.2