Wichtiger Sicherheitshinweis: Pathorama wurde zwischen dem 26. und 27. Dezember 2025 angegriffen. Falls Sie die Website in diesem Zeitraum besucht haben, lesen Sie bitte die wichtigen Informationen hier:
Zur Information

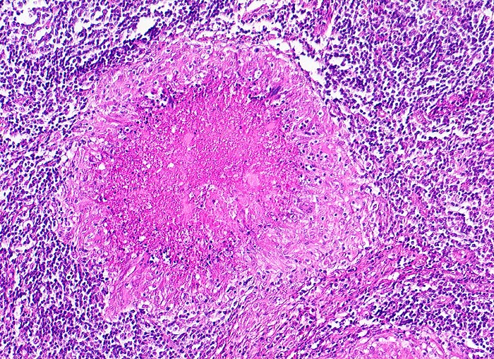
PathoPic – image database / PathoPic ID 4008 - Lymphknotentuberkulose: verkäsendes Granulom

de
Diagnose
Lymphknotentuberkulose: verkäsendes Granulom
Diagnose Gruppe
Entzündung infektiös
Topographie
Lymphknoten, Kopf-cervikal
Topographie Gruppe
Lymphatische Gewebe, KM, Milz
Beschreibung
Granulom mit zentraler hypereosinophiler verkäsender Nekrose. Heller Randsaum aus Epitheloidzellen.
Klinik
Konglomerattumor am Hals mit Fistelbildung bei Patient aus Zimbabwe.
Kommentar
Verkäste Granulome treten bei herabgesetzter Resistenz des Organismus auf (exsudative Tuberkulose). Je ausgeprägter die Verkäsung und je geringer die Epitheloidzellreaktion, desto schlechter die Abwehrlage. Im schlimmsten Fall (bei der Tuberculosepsis Landouzy) sind nur noch reaktionslose Nekrosen zu beobachten. Bei guter Abwehrlage fehlt die Verkäsung und es liegen reine Epitheloidzelltuberkel (produktive Tuberkulose) wie bei einer Sarkoidose vor.
Bilder Typ
Histologie
Vergrösserung
100
Alter
15
Geschlecht
männlich
Datum
Ersteintrag: 13.01.2002