Wichtiger Sicherheitshinweis: Pathorama wurde zwischen dem 26. und 27. Dezember 2025 angegriffen. Falls Sie die Website in diesem Zeitraum besucht haben, lesen Sie bitte die wichtigen Informationen hier:
Zur Information

Basel 2BA/ Akuter Myokardinfarkt

Diagnose
Akuter Myokardinfarkt
Diagnose Gruppe
vaskulär / Durchblutungsstörung
Differenzialdiagnose
Topographie Gruppe
Kardiovaskuläres System
Topographie
Herz links
Einleitung
Aetiologie:
In über 90% der Fälle ist eine Koronarsklerose mit frischer Thrombose Ursache des Myokardinfarktes. Seltene Ursache sind Koronarembolien (> 132) ausgehend von Thromben in den Herzkammern, endokarditischen Vegetationen, verkalkten Klappen, Vorhofmyxomen, Fett- Luft- oder paradoxen Embolien. Noch seltener sind Dissektionen (bei Medianekrose der Aorta), Vaskulitiden, koronare Missbildungen, Aneurysmata, Spasmen, fibromuskuläre Dysplasien oder eine Kompression der Koronararterie. Ein transmuraler Myokardinfarkt entsteht kaum durch ein atherosklerotisches Polster allein (> 701), sondern fast immer durch eine hinzugetretene Thrombose (> 98) nach Plaqueruptur.

Morphologie:
Der klassische Infarkt ist anämisch und ist innerhalb der ersten 15 Stunden als Myokardabblassung (> 335) später als erhabene lehmgelbe Nekrose mit schmalem hämorrhagischem Randsaum erkennbar. Nach thrombolytischer Therapie können durch Reperfusion der ischämisch geschädigten terminalen Strombahn auch hämorrhagische Infarkte auftreten. Lokalisation und Größe des Myokardinfarktes hängen von verschiedenen Faktoren ab: Lokalisation und Ausmaß der Koronarveränderungen, Größe des vom betroffenen Gefäß versorgten Myokardareals, Sauerstoffbedarf des schlecht perfundierten Myokards, Vorhandensein von Kollateralen und Vorhandensein von Koronarspasmen. Entscheidendes morphologisches Kriterium für den Myokardinfarkt ist der irreversible Untergang von Herzmuskelzellen. Das Myokard im Zentrum des Infarktes zeigt eine Koagulationsnekrose gekennzeichnet durch Hypereosinophilie des Zytoplasma und Kernpyknose. Am HE Schnitt sind diese Merkmale etwa ab 6 Stunden nach Infarktbeginn nachweisbar. Makroskopisch imponiert das Infarktareal jetzt lehmgelb und leicht erhaben. In den Randpartien und subendokardial (Ernährung per diffusionem vom Ventrikellumen her) treten als Zeichen einer reversiblen ischämischen Schädigung Herzmuskelzellen mit hellem pflanzenzellartigem Zytoplasma auf (=vakuoläre Degeneration). Schon nach 6 Stunden beginnt die Einwanderung von neutrophilen Granulozyten in den Randsaum der Nekrose. Makrophagen, Plasmazellen und Lymphozyten folgen ab dem 4. Tag.

Verlauf:
Tritt der Tod innerhalb von 30 Sekunden bis 2 Stunden nach dem koronaren Ereignis ein, liegt ein plötzlicher Herztod vor, dem in der Regel eine Arrhythmie zugrunde liegt. In solchen Fällen können autoptisch Zeichen einer Myokardnekrose fehlen. Manchmal deuten Kontraktionsbandnekrosen (> 202) oder eine wellige Deformation und Faserverdünnung auf die sich anbahnende Nekrose hin. Die Zelluntergänge beginnen an jenen Stellen, die von den zuführenden Arterien am weitesten entfernt sind (im Subendokard) und breiten sich von dort in Richtung zum Epikard aus. Die endgültige Infarktgrösse ist nach etwa 4 bis 6 Stunden erreicht. Da heute viele Koronarthrombosen durch rasche therapeutische Intervention nach Symptombeginn erfolgreich wiedereröffnet werden können, hat sich das morphologische Bild des Myokardinfarkts in den letzten Jahren gewandelt. Das klassische Bild eines unbehandelten transmuralen akuten Myokardinfarkts mit zusammenhängender lehmgelber Nekrose und hyperämischem Randsaum sieht man seltener. Häufiger sieht man multiple fleckförmige subendokardial betonte Nekroseareale mit oder ohne Einblutungen in die Nekrosezonen.
update 30. August 2014
Klinik
Vorkommen:
Im Alter von 40-70 Jahren treten Myokardinfarkte häufiger bei Männern auf. Nach dem 70. Altersjahr sind Infarkte bei Männern und Frauen gleich häufig. Die meisten Patienten sind über 45 Jahre alt.

Symptomatik:
Typisch für den akuten Myokardinfarkt sind länger als 15 Minuten anhaltende Stenokardien, die meist mit Dyspnoe, Schweissausbruch und Angstgefühlen einhergehen. Bei jedem zweiten Patienten treten die Symptome ohne vorangegangene Angina pectoris Anfälle auf.

Diagnostik:
Die Diangnose wird vor allem bei Diabetikern (stummer Myokardinfarkt) und jüngeren Patienten gelegentlich verpasst. Unabhängig vom Alter sollte aus diesem Grund bei Patienten mit Thoraxschmerz an die Möglichkeit eines Myokardinfarktes gedacht werden. Transmurale Infarkte führen im EKG zu ST-Strecken-Hebungen, subendokardiale Infarkte zeigen im EKG hingegen keine infarkttypischen Veränderungen des QRS-Komplexes. Die Konsensus-Richtlinien sowohl des American College of Cardiology als auch der Europäischen Gesellschaft für Kardiologie betrachten die Bestimmung der kardialen Troponine als Goldstandard zur Diagnose des akuten Myokardinfarktes. Kardiale Troponine (Troponin-T und Troponin-I) haben eine höhere Sensitivität und Spezifität als CK-MB. Die Troponin-Serumwerte steigen innerhalb von 3-12 Stunden nach Beginn der Thoraxschmerzen an, erreichen den Höhepunkt nach 24-48 Stunden und normalisieren sich innerhalb von 5-14 Tagen. Hauptziel der Abklärungen im Verdachtsfall ist die rasche Identifikation von möglichen Kandidaten für eine Thrombolysetherapie oder eine perkutane transluminale Angioplastie.

Komplikationen:
Häufig führen Rhythmusstörungen oder ein kardiogener Schock zum Tod nach transmuralem Infarkt. Bei grossen transmuralen Infarkten kommt es bei etwa jedem 2. Patienten zu einer Infarktexpansion mit aneurysmatischer Ausweitung und Verdünnung des Infarktareals. Die folgenschwerste und fast immer tödlich verlaufende Komplikation ist die in 1 bis 2% der Infarkte auftretende Myokardruptur (> 780). Komplette Perforationen mit Herzbeuteltamponade entstehen am häufigsten im freien Anteil der linken Kammerwand. Seltener sind Septumperforationen und Papillarmuskelrupturen (> 763) mit akuter Klappeninsuffizienz. Die Rupturen treten in der Regel bei 3-10 Tage alten Infarkten auf. Murale ventrikuläre Thromben entstehen im Infarktgebiet meist in den ersten 3 Tagen nach Infarktbeginn. Murale Thromben über einem Herzwandaneurysma können zu einem Morbus embolicus führen.

Prognose:
Patienten mit transmuralem Myokardinfarkt haben eine schlechtere Prognose hinsichtlich der Erholung der gestörten lokalen Wandkinetik und der Gesamtfunktion des linken Ventrikels. Bei Patienten mit nicht-transmuralem Infarkt kann sich die gestörte lokale und globale Ventrikelfunktion erholen.
Morphologie
Morphologische Merkmale:
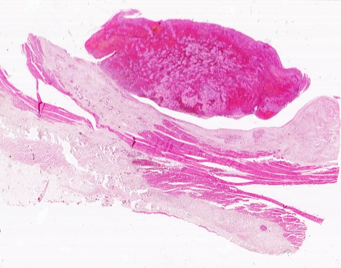
Das Präparat stammt von einer 90 jährigen Patientin.
Makroskopie: schwere stenosierende Koronarsklerose mit frischem thrombotischem Verschluss des Ramus interventricularis anterior der linken Koronararterie. 8x9cm grosser akuter transmuraler anteroseptaler Myokardinfarkt.
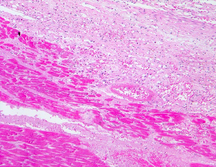
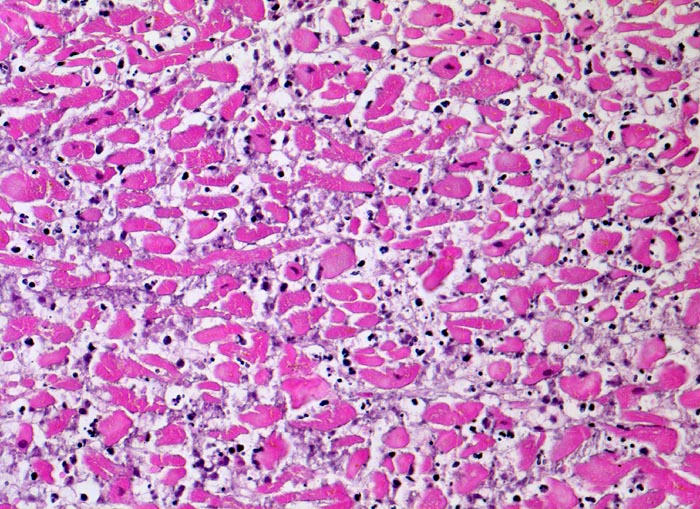
  • Oben auf dem histologischen Präparat ist ein Querschnitt durch den Papillarmuskel zu sehen, unten auf dem Präparat ein tangentialer Schnitt durch die Myokardvorderwand
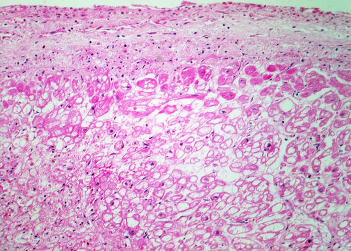
  • Papillarmuskel und Vorderwand zeigen territoriale Koagulationsnekrosen, welche vom Rand her von neutrophilen Granulozyten infiltriert werden (blauer Saum).
  • Ein Teil der neutrophilen Granulozyten ist bereits zerfallen (Kerntrümmer)
  • Das nekrotische Myokard ist erkennbar an seiner dunkleren Färbung (Hypereosinophilie) und einer Abblassung oder dem Verschwinden der Zellkerne.
  • Herzmuskelzellen mit Kontraktionsbandnekrosen vor allem in den Randbereichen des Infarktareals.
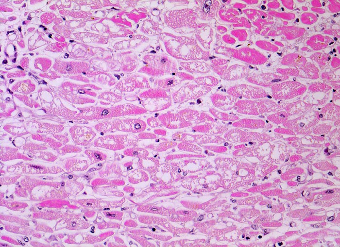
  • Die unmittelbar subendokardial gelegenen Herzmuskelzellen des Papillarmuskels sind vital (erhaltene Zellkerne), zeigen aber ein blasig vakuolisiertes und aufgehelltes Sarkoplasma (=tubuläre Degeneration) als Zeichen eines chronischen Sauerstoffmangels (sogenannte Holundermarkzellen).
  • Nebenbefund: Amorphe azelluläre Amyloidablagerungen in den Gefässwänden der intramyokardialen Arterien. (Senile kardiovaskuläre Amyloidose).
Das sollte der Kliniker dem Pathologen mitteilen:
  • Bekannte koronare Herzkrankheit
  • Zeitpunkt des Infarktereignisses
  • Rhythmusstörungen
  • Resultat der Koronarangiographie
  • Koronare Interventionen (Thrombolyse, PTCA…)

update 30. August 2014
Makroskopie
Befund
Pathologischer Befund
Normalbefund
Datum
Ersteintrag: 10.07.2019
Update: 10.07.2019