Wichtiger Sicherheitshinweis:
Pathorama wurde zwischen dem
26. und 27. Dezember 2025
angegriffen. Falls Sie die Website in diesem Zeitraum besucht haben, lesen Sie bitte die wichtigen Informationen hier:
Zur Information
Pathopic
HiPaKu
ZyPaKu
Projektinfos
PathoPic - Projekt- und Copyright-Info
About
Pathopic
HiPaKu
ZyPaKu
PathoPic – image database
/
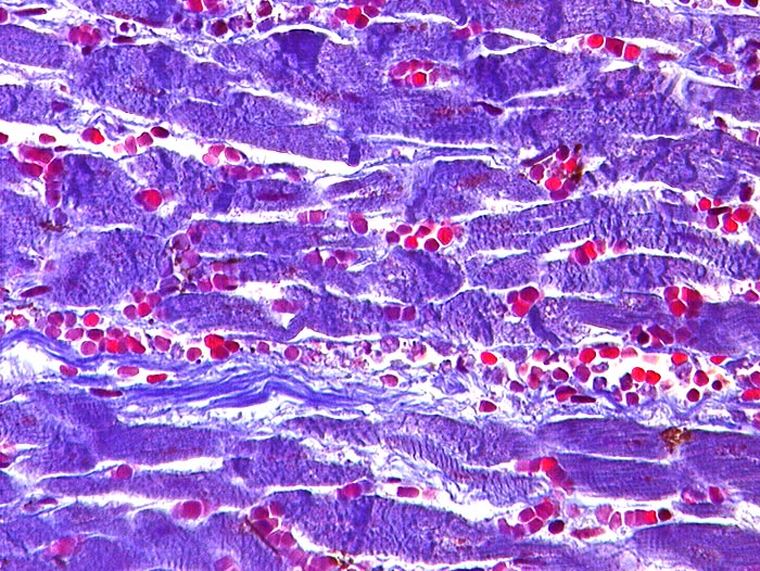
PathoPic ID 202 - Perakuter Myokardinfarkt
de
Zeitverlauf
Diagnose
Perakuter Myokardinfarkt
Diagnose Gruppe
vaskulär / Durchblutungsstörung
Topographie
Herz links
Topographie Gruppe
Kardiovaskuläres System
Beschreibung
Nekrotische Myokardfasern mit zahlreichen Kontraktionsbändern. Ein granulozytäres Entzündungsinfiltrat fehlt.
Klinik
St.n. vierfachem Aortokoronarem Bypass vor 10 Jahren.
Bilder Typ
Histologie
Alter
85
Geschlecht
unbekannt
Datum
Ersteintrag: 30.10.2001
CPS
·
©
2025 Institut für Pathologie Basel
/
Dr. med. Katharina Glatz-Krieger
.
·
v2.2