Wichtiger Sicherheitshinweis: Pathorama wurde zwischen dem 26. und 27. Dezember 2025 angegriffen. Falls Sie die Website in diesem Zeitraum besucht haben, lesen Sie bitte die wichtigen Informationen hier:
Zur Information

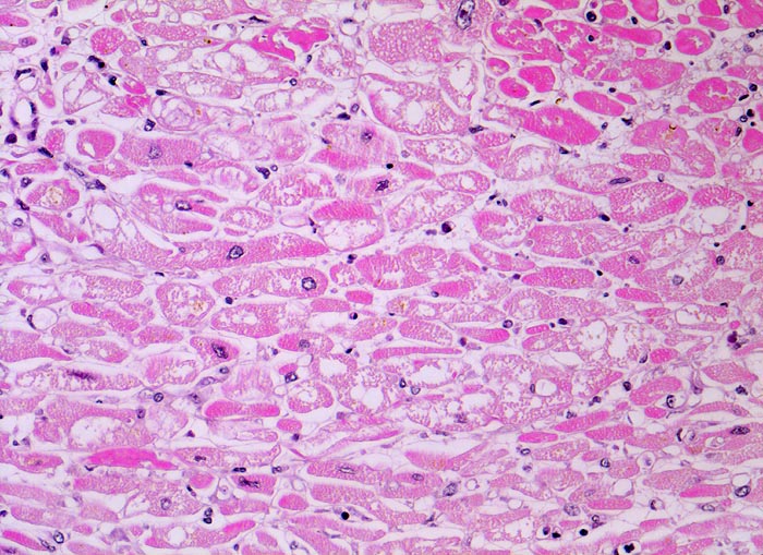
PathoPic – image database / PathoPic ID 4584 - Myokardinfarkt und tubuläre Degeneration

de
Diagnose
Myokardinfarkt und tubuläre Degeneration
Diagnose Gruppe
vaskulär / Durchblutungsstörung
Topographie
Herz links
Topographie Gruppe
Kardiovaskuläres System
Beschreibung
Koagulationsnekrose der Myokardfasern: Fehlende Kernfärbung, Sarkoplasma hypereosinophil, homogen oder schollig. Muskelfasern mit erhaltenen Kernen und hellem vakuolisiertem Sarkoplasma mit Verlust der Myofilamente (=Holundermarkzellen =massive Glykogenspeicherung).
Klinik
Diagnose eines Myokardinfarktes vor 4 Tagen.
Kommentar
Die hypoxisch bedingte vakuoläre (=tubuläre) Degeneration beruht auf einem Verlust der Myofibrillen und Glykogenspeicherung. Die zentral leeren Myokardzellen werden auch Holundermarkzellen genannt. Die veränderten Kardiomyozyten sind noch vital aber können sich nicht mehr kontrahieren. Das Auftreten der vakuolären Degeneration ist korreliert mit Herzinsuffizienz.
Bilder Typ
Histologie
Vergrösserung
200
Alter
75
Geschlecht
unbekannt
Datum
Ersteintrag: 21.10.2002
Update: 12.11.2007