Wichtiger Sicherheitshinweis:
Pathorama wurde zwischen dem
26. und 27. Dezember 2025
angegriffen. Falls Sie die Website in diesem Zeitraum besucht haben, lesen Sie bitte die wichtigen Informationen hier:
Zur Information
Pathopic
HiPaKu
ZyPaKu
Projektinfos
PathoPic - Projekt- und Copyright-Info
About
Pathopic
HiPaKu
ZyPaKu
PathoPic – image database
/
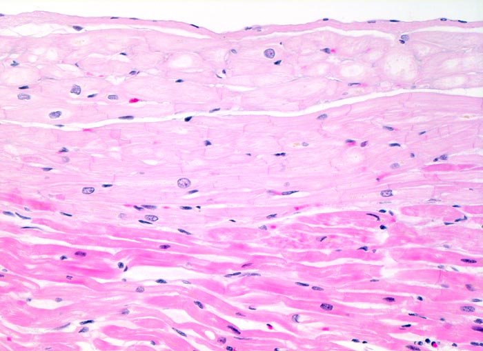
PathoPic ID 4126 - normales Myokard: Reizleitungszellen
de
Diagnose
normales Myokard: Reizleitungszellen
Diagnose Gruppe
Normalbefund
Topographie
Herz
Topographie Gruppe
Kardiovaskuläres System
Beschreibung
Subendocardiale Schicht von etwas grösseren deutlich helleren (herausgelöstes Glykogen) Herzmuskelzellen des Reizleitungssystems
Bilder Typ
Histologie
Vergrösserung
200
Alter
33
Geschlecht
männlich
Datum
Ersteintrag: 04.03.2002
CPS
·
©
2025 Institut für Pathologie Basel
/
Dr. med. Katharina Glatz-Krieger
.
·
v2.2