Wichtiger Sicherheitshinweis: Pathorama wurde zwischen dem 26. und 27. Dezember 2025 angegriffen. Falls Sie die Website in diesem Zeitraum besucht haben, lesen Sie bitte die wichtigen Informationen hier:
Zur Information

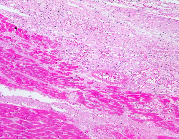
PathoPic – image database / PathoPic ID 4545 - Myokardinfarkt

de
Diagnose
Myokardinfarkt
Diagnose Gruppe
vaskulär / Durchblutungsstörung
Topographie
Herz links
Topographie Gruppe
Kardiovaskuläres System
Beschreibung
Hypereosinophiles Myokard ( Koagulationsnekrose) ohne erkennbare Kernfärbung. Am Rand der Nekrose Granulationsgewebe mit zahlreichen kapillären Gefässen, Makrophagen, bräunliche Siderophagen und Fibroblasten.
Klinik
Diagnose eines Myokardinfarktes vor 4 Tagen.
Bilder Typ
Histologie
Vergrösserung
50
Alter
75
Geschlecht
unbekannt
Datum
Ersteintrag: 21.10.2002