Wichtiger Sicherheitshinweis:
Pathorama wurde zwischen dem
26. und 27. Dezember 2025
angegriffen. Falls Sie die Website in diesem Zeitraum besucht haben, lesen Sie bitte die wichtigen Informationen hier:
Zur Information
Pathopic
HiPaKu
ZyPaKu
Projektinfos
PathoPic - Projekt- und Copyright-Info
About
Pathopic
HiPaKu
ZyPaKu
PathoPic – image database
/
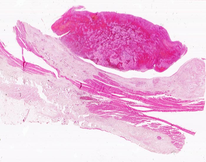
PathoPic ID 4567 - Transmuraler Myokardinfarkt mit Parietalthrombose
de
Diagnose
Transmuraler Myokardinfarkt mit Parietalthrombose
Diagnose Gruppe
vaskulär / Durchblutungsstörung
Topographie
Herz links
Topographie Gruppe
Kardiovaskuläres System
Beschreibung
Hypereosinophiles nekrotisches
Myokard. Dem Endokard zum Ventrikellumen hin anhaftender geschichteter Thrombus. Dünne
Fibrinschicht auf dem Epikard.
Klinik
Diagnose eines Myokardinfarktes vor 4 Tagen.
Bilder Typ
Histologie
Vergrösserung
Scan
Alter
75
Geschlecht
unbekannt
Datum
Ersteintrag: 21.10.2002
CPS
·
©
2025 Institut für Pathologie Basel
/
Dr. med. Katharina Glatz-Krieger
.
·
v2.2