Wichtiger Sicherheitshinweis: Pathorama wurde zwischen dem 26. und 27. Dezember 2025 angegriffen. Falls Sie die Website in diesem Zeitraum besucht haben, lesen Sie bitte die wichtigen Informationen hier:
Zur Information

Basel 3BA FS/ Fibrös zystische Mastopathie mit Mikroverkalkungen

Diagnose
Fibrös zystische Mastopathie mit Mikroverkalkungen
Diagnose Gruppe
organspezifische Erkrankung
Differenzialdiagnose
Topographie Gruppe
Mamma
Topographie
Mamma
Einleitung
Aetiologie:
Die fibrös-zystische Mastopathie umfasst ein ganzes Spektrum von hormonell induzierten gutartigen Veränderungen des Mammaparenchyms.

Morphologie:
Makroskopisch bildet das mastopathisch veränderte Parenchym weisse kompakte fibröse Areale mit Einschluss von Zysten, welche oftmals eingedicktes Sekret enthalten. Neben einer Stromafibrose und zystisch ausgeweiteten Gängen mit Sekretretention findet sich oft eine unterschiedlich ausgeprägte intraduktale Proliferation von luminalen und basalen Epithelzellen. Nicht selten liegen als Begleitbefund kleine Fibroadenome, eine sklerosierende Adenose oder Gänge mit apokriner Metaplasie vor. Oftmals finden sich auch intraduktale Mikroverkalkungen. Die duktale Hyperplasie ist im Gegensatz zur atypischen Hyperplasie und zum Carcinoma in situ charakterisiert durch eine bunte, ungeordnete Proliferation ungleich grosser polygonaler bis spindeliger Zellen mit Ausbildung von schlitzförmigen Hohlräumen oder dünnen epithelialen Brücken. Die euchromatischen Kerne variieren in Grösse, Form und Lagerung. Bei paralleler Lagerung der Kerne entsteht der Eindruck eines Strömens und Fliessens der Zellen. Das duktale Carcinoma in situ ist von gutartigen intraduktalen Epithelproliferationen abzugrenzen aufgrund seiner Monomorphie (> 5185), Hyperchromasie der Zellkerne und starrer geometrischer Muster (runde scharf begrenzte wie ausgestanzte Lumina (> 5184), breite Brücken und Bögen, Mikropapillen). Eine intraduktale Epithelproliferation mit Atypie wird dann diagnostiziert, wenn nur ein Teil der Gänge oder Läppchen die typischen Veränderungen eines Carcinoma in situ zeigt. Die Abgrenzung der atypischen Hyperplasie von der Hyperplasie ohne Atypie erfolgt aufgrund qualitativer Merkmale und die Abgrenzung der Hyperplasie mit Atypie vom Carcinoma in situ aufgrund quantitativer Merkmale.
Klinik
Vorkommen:
Die Häufigkeit liegt in Autopsiestudien bei 58%. Die Mastopathie tritt zwischen dem 30. und 50. Lebensjahr auf und entwickelt sich langsam über Monate oder Jahre.

Symptomatik:
In etwa 50% klagen die Frauen über eine prämenstruelle Mastodynie und in 5-10% liegt eine pathologische Sekretion vor.

Diagnostik:
Klinisch fallen diffuse, oft harte oder noduläre Indurationen auf. Das Auftreten von Mikroverkalkungen in der Mammographie kann Zeichen von Epithelproliferationen oder Atypien sein. Zu unterscheiden sind lobuläre und duktale Verkalkungen. Lobuläre Verkalkungen sind nahezu ausnahmslos benigne, sind uniform, homogen, dicht, scharf begrenzt und rundlich. Kalkmilchzysten zeigen typischerweise Spiegelbildungen. Duktale Verkalkungen sind granulär oder linienförmig, differieren in Dichte, Form, Grösse und Homogenität und sind als Hinweis auf das Vorliegen von Atypien oder Karzinomen zu werten. Bei grüppchenförmiger Anordnung von mehr als 5-7 Verkalkungen ist eine bioptische Abklärung angezeigt. Mikroverkalkungen entziehen sich aufgrund ihrer geringen Grösse dem sonographischen Nachweis.

Verlauf:
Epidemiologische Untersuchungen haben gezeigt, dass etwa 4% der Frauen mit einer floriden, die Gänge ausfüllenden intraduktalen Epithelproliferation in einem Zeitraum von 15 Jahren ein invasives Karzinom entwickeln. Das entspricht einem zweifachen Karzinomrisiko. Die duktale Hyperplasie stellt somit eine Indikatorläsion für ein erhöhtes Karzinomrisiko dar und erfordert regelmässige klinische Nachkontrollen. Die atypische duktale Hyperplasie stellt ebenfalls eine Indikatorläsion mit bis zu achtfachem Karzinomrisiko dar.
Normalbefund
Morphologie
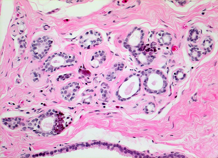
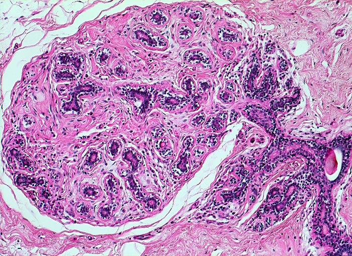
Morphologische Merkmale:
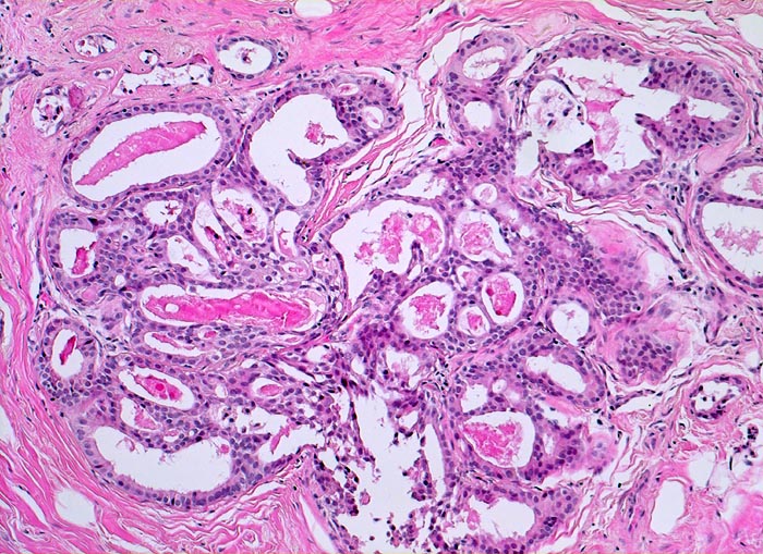
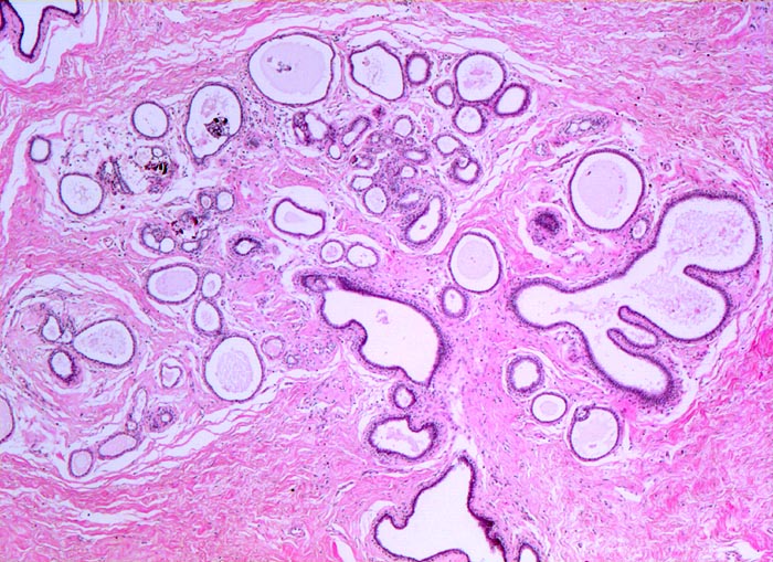
  • Ausgeprägte Fibrose und zystisch erweiterte Gangstrukturen in organoider Anordnung.
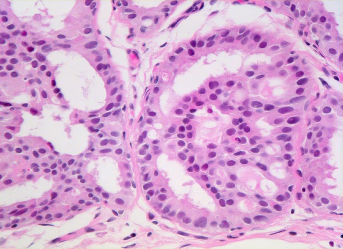
  • In der Mitte rechts einige Gänge mit gewöhnlicher intraduktaler Epithelhyperplasie ohne Atypie: Polymorphe, sich überlagernde spindelige Zellen. Fliessende Anordnung der Zellen. Schlitzförmige und irregulär geformte Lumina.
  • Herdförmig apokrine Metaplasie des Drüsenepithels: hochprismatische Zellen mit sehr reichlichem feingranulärem eosinophilem Zytoplasma und runden Kernen.
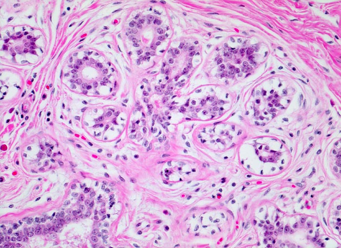
  • Rundlicher blauvioletter Mikrokalk in den Azini benigner Drüsenläppchen.
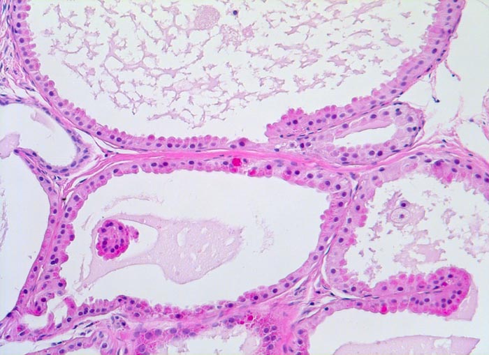
  • Kolumnarzellveränderung: erweiterte Drüsen ausgekleidet von hochprismatischem Epithel mit apikalen Nasen (snouts) gefüllt mit Sekret und teilweise assoziiert mit Mikrokalk.
  • Im Zentrum des Präparates stark erweiterte Gänge mit intraduktalen peripheren Papillomen.
  • Alle Drüsen zeigen eine erhaltene äussere abgeflachte Myoepithelschicht mit hellem Zytoplasma.
Das sollte der Kliniker dem Pathologen mitteilen:
  • Karzinomverdacht.
  • Radiologischer Befund.
Praxis-Tipp:
  • Bei Mikroverkalkungen Röntgenbilder mitschicken.
  • Bei Probeexzisionen wegen Mikrokalk und bei nicht palpablen Mammaläsionen sollte keine Schnellschnittuntersuchung verlangt werden. Von Tumoren, die kleiner sind als 1x0.5cm sollte ebenfalls kein Schnellschnitt gemacht werden.
Makroskopie
Befund
Pathologischer Befund
Normalbefund
Literatur
Datum
Ersteintrag: 10.07.2019
Update: 10.07.2019