Wichtiger Sicherheitshinweis: Pathorama wurde zwischen dem 26. und 27. Dezember 2025 angegriffen. Falls Sie die Website in diesem Zeitraum besucht haben, lesen Sie bitte die wichtigen Informationen hier:
Zur Information

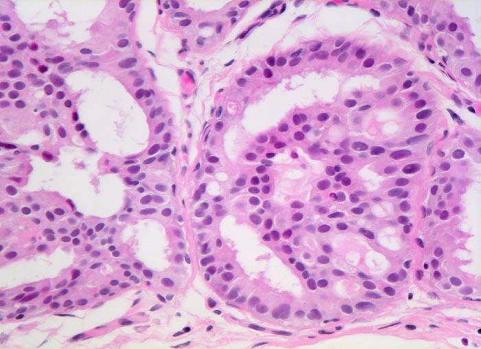
PathoPic – image database / PathoPic ID 4794 - intraduktale Epithelproliferation ohne Atypie

de
Diagnose
intraduktale Epithelproliferation ohne Atypie
Diagnose Gruppe
organspezifische Erkrankung
Topographie
Mamma
Topographie Gruppe
Mamma
Beschreibung
Erweiterte Gänge angefüllt mit proliferiertem Epithel. Im Gegensatz zu einem duktalen Carcinoma in situ sind die proliferierten Zellen polymorph. Teilweise entsteht der Eindruck "fliessender" Zellen. Die vorhandenen Hohlräume sind nicht kreisrund, sondern unregelmässig verzogen und randständig schlitzförmig.
Klinik
Probeexzision wegen umschriebenen Mikroverkalkungen in der Screeningmammographie. Bei der Palpation lassen sich mehrere unscharf begrenzte derbe Knoten tasten.
Bilder Typ
Histologie
Vergrösserung
320
Alter
61
Geschlecht
unbekannt
Datum
Ersteintrag: 06.10.2002