Wichtiger Sicherheitshinweis: Pathorama wurde zwischen dem 26. und 27. Dezember 2025 angegriffen. Falls Sie die Website in diesem Zeitraum besucht haben, lesen Sie bitte die wichtigen Informationen hier:
Zur Information

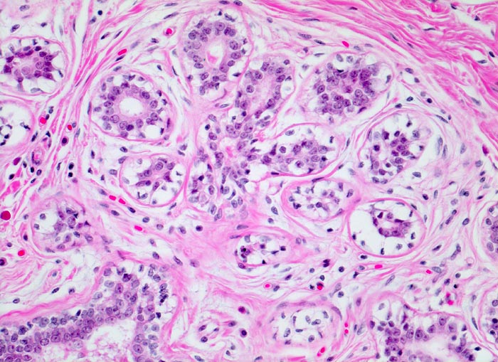
PathoPic – image database / PathoPic ID 4059 - normale Mamma: terminale duktulolobuläre Einheit

de
Diagnose
normale Mamma: terminale duktulolobuläre Einheit
Diagnose Gruppe
Normalbefund
Topographie
Mamma
Topographie Gruppe
Mamma
Beschreibung
Die terminale duktulolobuläre Einheit der Mamma umfasst einen intralobulären Ausführgang und zu einem Läppchen angeordnete Alveolen. Alveolen und Ausführgang werden vom gleichen zweischichtigen Epithel ausgekleidet. Das intralobuläre kollagenfasrige Gewebe ist etwas lockerer als das extralobuläre.
Bilder Typ
Histologie
Vergrösserung
200
Alter
44
Geschlecht
unbekannt
Datum
Ersteintrag: 04.03.2002