Wichtiger Sicherheitshinweis: Pathorama wurde zwischen dem 26. und 27. Dezember 2025 angegriffen. Falls Sie die Website in diesem Zeitraum besucht haben, lesen Sie bitte die wichtigen Informationen hier:
Zur Information

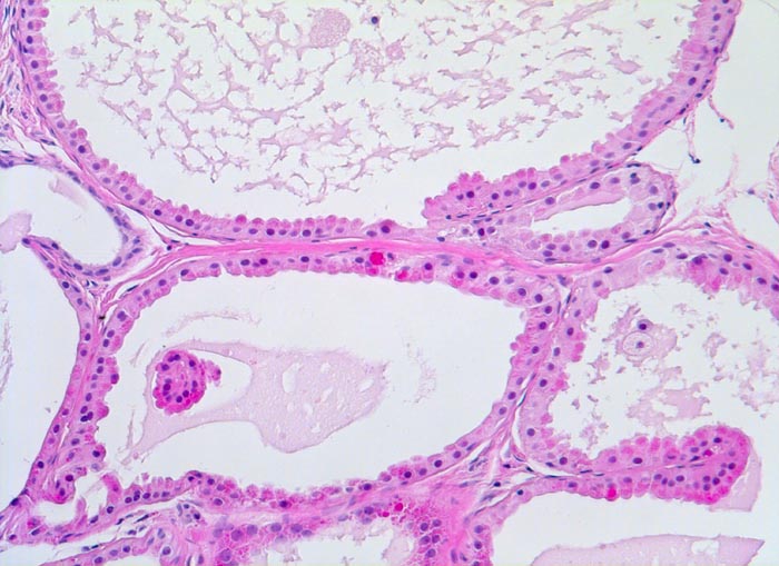
PathoPic – image database / PathoPic ID 4798 - apokrine Metaplasie

de
Diagnose
apokrine Metaplasie
Diagnose Gruppe
Metaplasie / Heterotopie
Topographie
Mamma
Topographie Gruppe
Mamma
Beschreibung
Dilatierte Gänge sind ausgekleidet von einem einreihigen Epithel. Die Epithelzellen zeigen eine charateristische $o{as25063snout} Ausziehung des reichlich vorhandenen apikalen Zytoplasma. Die Lumina enthalten Sekret und vereinzelte Schaumzellen.
Klinik
Probeexzision wegen umschriebenen Mikroverkalkungen in der Screeningmammographie. Bei der Palpation lassen sich mehrere unscharf begrenzte derbe Knoten tasten.
Kommentar
Eine apokrine Metaplasie findet sich oft im Rahmen einer fibrös zystischen Mastopathie.
Bilder Typ
Histologie
Vergrösserung
100
Alter
61
Geschlecht
unbekannt
Datum
Ersteintrag: 08.05.2002