Wichtiger Sicherheitshinweis: Pathorama wurde zwischen dem 26. und 27. Dezember 2025 angegriffen. Falls Sie die Website in diesem Zeitraum besucht haben, lesen Sie bitte die wichtigen Informationen hier:
Zur Information

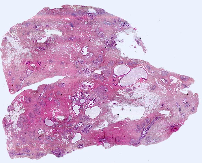
PathoPic – image database / PathoPic ID 4799 - fibrös zystische Mastopathie mit Mikroverkalkungen

de
Diagnose
fibrös zystische Mastopathie mit Mikroverkalkungen
Diagnose Gruppe
organspezifische Erkrankung
Topographie
Mamma
Topographie Gruppe
Mamma
Beschreibung
Ausgedehnte Fibroseareale schliessen kleine Inseln von Fettgewebe ein. Zahlreiche Gänge sind unterschiedlich stark dilatiert. Zusammen ergibt sich die Diagnose einer fibrös zystischen Mastopathie.
Klinik
Probeexzision wegen umschriebenen Mikroverkalkungen in der Screeningmammographie. Bei der Palpation lassen sich mehrere unscharf begrenzte derbe Knoten tasten.
Bilder Typ
Histologie
Vergrösserung
Scan
Alter
61
Geschlecht
unbekannt
Datum
Ersteintrag: 06.10.2002