Wichtiger Sicherheitshinweis:
Pathorama wurde zwischen dem
26. und 27. Dezember 2025
angegriffen. Falls Sie die Website in diesem Zeitraum besucht haben, lesen Sie bitte die wichtigen Informationen hier:
Zur Information
Pathopic
HiPaKu
ZyPaKu
Projektinfos
PathoPic - Projekt- und Copyright-Info
About
Pathopic
HiPaKu
ZyPaKu
PathoPic – image database
/
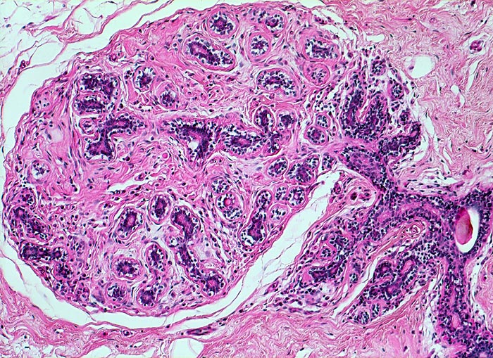
PathoPic ID 4661 - ruhende Mamma: normales Brustdrüsenläppchen
de
Diagnose
ruhende Mamma: normales Brustdrüsenläppchen
Diagnose Gruppe
Normalbefund
Topographie
Mamma
Topographie Gruppe
Mamma
Beschreibung
Scharf begrenztes Mammaläppchen mit
Tubuli. Diese werden drainiert durch einen
Ductus lactiferus.
Kommentar
Das ruhende Mammaläppchen enthält lediglich Tubuli. Die Mamma lactans besteht aus tubuloalveolären Drüsen.
Bilder Typ
Histologie
Vergrösserung
100
Alter
42
Geschlecht
unbekannt
Datum
Ersteintrag: 06.05.2002
CPS
·
©
2025 Institut für Pathologie Basel
/
Dr. med. Katharina Glatz-Krieger
.
·
v2.2