Wichtiger Sicherheitshinweis: Pathorama wurde zwischen dem 26. und 27. Dezember 2025 angegriffen. Falls Sie die Website in diesem Zeitraum besucht haben, lesen Sie bitte die wichtigen Informationen hier:
Zur Information

Staats/ Basalzellkarzinom

Diagnose
Basalzellkarzinom
Diagnose Gruppe
Präneoplasie/ Atypie/ Dignität?
Differenzialdiagnose
  • - Plattenepithelkarzinom- benigne und maligne Adnextumoren
Topographie Gruppe
Haut
Topographie
Haut, Kopf
Einleitung
Histogenese:
 Das Basalzellkarzinom (synonym Basaliom) umfasst eine heterogene Gruppe von fibroepithelialen Tumoren und entspricht in seinen Differenzierungsmöglichkeiten denen des embryonalen Haarkeims. 

Lokalisation:
 Es tritt zu 90% an UV-Licht exponierter Haut meist im Kopf-Halsbereich auf. Seltener ist es an den Extremitäten oder am Stamm zu finden.

Verlauf:
Das Basalzellkarzinom ist ein langsam lokal destruierend wachsender semimaligner Tumor und metastasiert extrem selten (0.003 - 0.4 %). 

Morphologie:
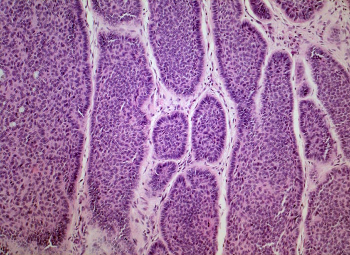
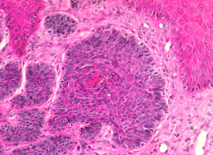
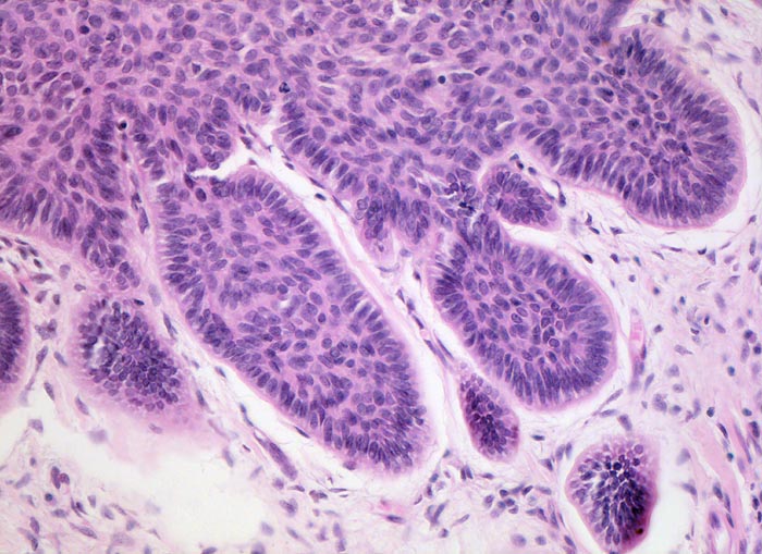
Die histomorphologische Variationsbreite ist gross. Häufig sind solide und oberflächliche Basalzellkarzinome. Gelegentlich beobachtet man Herde mit zystischer Degeneration, Ausbildung pseudoglandulärer Strukturen (> 3947), Pigmentierung oder herdförmige Verhornung (> 3951). Besonders rezidivfreudig sind der mikronoduläre (> 9738) und der infiltrative bzw. infiltrativ-sklerodermiforme Subtyp (> 7680). Beim diskontinuierlich wachsenden oberflächlichen Subtyp kann es für den Pathologen gelegentlich unmöglich sein, anzugeben, ob der Tumor in toto exzidiert wurde. 

Molekulargenetik:
Bei Basalzellkarzinomen besteht häufig eine abnorme Aktivierung des Hedgehog-Signalweges, welcher eine wichtige Funktion bei der Embryonalentwicklung hat, aber bei Erwachsenen normalerweise inaktiv ist. Seit 2013 kommen Inhibitoren des Hedgehog-Signalweges bei ausgewählten Patienten mit fortgeschrittenem oder metastasiertem Basalzellkarzinom zum Einsatz. Multiple Basalzellkarzinome bei jüngeren Patienten können auf das autosominal-dominant vererbte Gorlin Goltz Syndrom hinweisen.

update 18. Oktober 2019
Klinik
Vorkommen:
 Das Basalzellkarzinom tritt meist nicht vor dem 40. Lebensjahr auf. Das Durchschnittsalter der Patienten liegt bei 60 Jahren. Bei einem Drittel der Patienten liegen zum Zeitpunkt der Diagnose mehrere Primärtumoren vor. 

Risikofaktoren:
 Das kurzwellige UV-Licht spielt eine herausragende Rolle in der Tumorentstehung. Hellhäutige Menschen, die auch leicht einen Sonnenbrand bekommen, sind besonders gefährdet. Die medikamentöse Immunsuppression nach Organtransplantation stellt einen wichtigen Risikofaktor für epitheliale Hauttumoren dar. Weitere prädisponierende Faktoren sind Arsenexposition, Genodermatosen, präexistente benigne Tumoren, Radioderm, lang bestehende Narben und chronische Wunden. 

Symptomatik:
An der befallenen Stelle bildet sich zunächst ein oft unbemerkt bleibendes Knötchen oder eine Verhärtung in der Haut. Die Färbung entspricht der normalen Haut. Das oberflächliche Basalzellkarzinom der Rumpfhaut manifestiert sich als erythrosquamöser Herd, der leicht mit einem nummulären Exkzem verwechselt werden kann. Die wahre Tumorgröße kann über die sichtbaren Hautveränderungen hinausreichen. Größere Basalzellkarzinome neigen dazu, zentral einzuschmelzen. Es entsteht eine nässende, manchmal blutende Wunde.

Diagnostik und Therapie:
 Notwendig ist die histologische Sicherung der Diagnose. Klinisch schlecht abgrenzbare Basalzellkarzinome und Rezidivtumoren können Ausläufer von mehreren Millimetern ausserhalb der klinisch sichtbaren Tumorgrenze aufweisen. Die Untersuchung der Resektionsränder stellt deshalb eine häufige Schnellschnittindikation dar. Bei der mikrographischen Chirurgie werden in mehreren Schritten alle Resektionsränder untersucht, bis ein tumorfreies Exzisionsbett entsteht. Die Rezidivrate dieser Methode liegt nach 5 Jahren bei lediglich 1-2%. Schnellschnittuntersuchung und mikrographische Chirugie kommen vor allem an kosmetisch heiklen Lokalisationen, bei Hochrisikosubtypen oder bei Rezidivtumoren zur Anwendung. Als Alternative zur konventionellen Chirurgie oder bei primärer Inoperabilität, sowie nach inkompletter chirurgischer Entfernung kommt eine Strahlentherapie in Frage. Die Kryotherapie eignet sich für kleinere oberflächliche Tumoren bei Patienten höheren Alters. Therapieoptionen bei oberflächlichen Basalzellkarzinomen sind Shaveexzision, CO2 Laserablation, Photodynamische Therapie, lokale Chemotherapie (5-FU). Nach vollständiger Exzision ist trotz der geringen Rezidivrate bei Primärtumoren eine Nachsorge nötig, da neue Tumoren in ca. 30% auftreten können. Rezidive nach nicht erkannter subtotaler Exzision sind meist in einem Zeitraum von drei Jahren (ca. 70 %) klinisch erfassbar, können aber auch noch nach über 10 Jahren auftreten. Eine klinische Nachkontrolle ist zumindest 3 Jahre lang jährlich empfehlenswert. Patienten mit lokal rezidivierenden oder nicht in toto exzidierten Tumoren oder solche mit höherem Risiko für weitere neue Tumoren (Immunsuppression, genetische Disposition) werden individuell engmaschiger nachkontrolliert. 

update 20. August 2017
Normalbefund
Morphologie
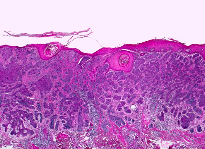
Morphologische Merkmale: 
  • Fokale oberflächliche Ulzeration bzw. Erosion der Epidermis über dem Tumor. 
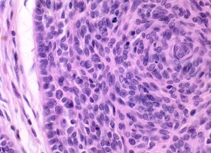
  • Solide blaue Tumorzellplatten in der Dermis, teils mit Kontakt zur Epidermis. 
  • Die zytoplasmaarmen Tumorzellen ähneln Basalzellen der Epidermis. 
  • Palisadenförmige Anordnung der Tumorzellen am Rand der Zellplatten. 
  • Retraktionsartefakt zwischen Tumor und Stroma. 
  • Tumorstroma bestehend aus Fibroblasten, lockeren Kollagenfasern, hellblauen Muzineinlagerungen und chronischem Entzündungsinfiltrat. 
  • Im Zentrum einzelner Tumorzellplatten Verhornung, Tumornekrosen oder Hohlraumbildungen. 
  • Die Dermis in der tumorfreien Haut zeigt eine deutliche solare Elastose als Zeichen der chronischen UV Schädigung. 
  • Markierung des seitlichen Resektionsrandes mit blauer bzw. grüner Tusche zur Beurteilung der Resektionsränder (RR tumorfrei? Abstand zum RR?) Das sollte der Kliniker dem Pathologen mitteilen: 
  • Genaue Lokalisation. 
  • Rezidiv. Praxis-Tipp: 
  • Seitenmarkierung am besten mit Skizze für die genaue Orientierung der Resektionsränder. 
  • Ein Sicherheitsabstand von 1 bis 4 mm ist bei Basalzellkarzinomen in der Regel ausreichend. 
  • Oberflächliche, mikronoduläre und sklerodermiforme Basalzellkarzinome sollten wegen hoher Rezidivneigung unbedingt im Gesunden entfernt werden. 
  • Schnellschnittuntersuchungen der Resektionsränder können vielfach ein einzeitiges Vorgehen ermöglichen. 

     update 1. September 2015 
Makroskopie
Befund
Pathologischer Befund
Normalbefund
Datum
Ersteintrag: 10.07.2019
Update: 18.10.2019