Wichtiger Sicherheitshinweis: Pathorama wurde zwischen dem 26. und 27. Dezember 2025 angegriffen. Falls Sie die Website in diesem Zeitraum besucht haben, lesen Sie bitte die wichtigen Informationen hier:
Zur Information

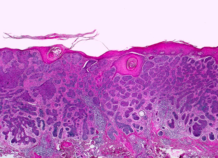
PathoPic – image database / PathoPic ID 5104 - Basaliom

de
Diagnose
Basaliom
Diagnose Gruppe
maligner Tumor
Topographie
Haut, Kopf
Topographie Gruppe
Haut
Beschreibung
Unmittelbar unterhalb der Epidermis liegen kompakte basophile verzweigte expansiv wachsende Zellplatten. Fokale Hyperkeratose der Epidermis. Am Rand des Tumors dichtes chronisches Entzündungsinfiltrat.
Klinik
Derber weisser, leicht erhabener Knoten an der Nase.
Bilder Typ
Histologie
Vergrösserung
25
Alter
83
Geschlecht
unbekannt
Datum
Ersteintrag: 08.07.2002