Wichtiger Sicherheitshinweis: Pathorama wurde zwischen dem 26. und 27. Dezember 2025 angegriffen. Falls Sie die Website in diesem Zeitraum besucht haben, lesen Sie bitte die wichtigen Informationen hier:
Zur Information

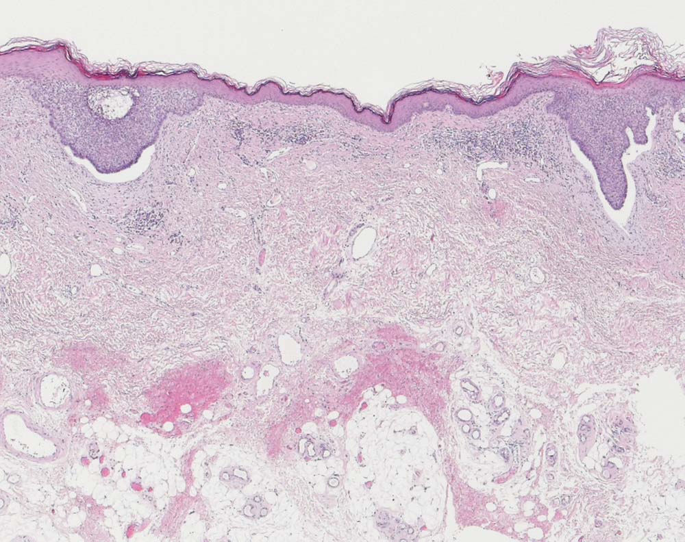
PathoPic – image database / PathoPic ID 9738 - Oberflächlich multizentrisches Basalzellkarzinom

de
Diagnose
Oberflächlich multizentrisches Basalzellkarzinom
Diagnose Gruppe
Präneoplasie/ Atypie/ Dignität?
Topographie
Haut, Kopf
Topographie Gruppe
Haut
Beschreibung
Von der Epidermis ausgehende basaloide Zellnester mit peripherer Palisadierung und charakteristischem Retraktionsartefakt zwischen Tumorzellen und angrenzendem Stroma. Zwischen beiden Zellnestern ist die Haut tumorfrei.
Klinik
Basaliom Axilla.
Bilder Typ
Histologie
Vergrösserung
25
Alter
68
Geschlecht
unbekannt
Datum
Ersteintrag: 30.07.2007
Update: 13.02.2008