Wichtiger Sicherheitshinweis: Pathorama wurde zwischen dem 26. und 27. Dezember 2025 angegriffen. Falls Sie die Website in diesem Zeitraum besucht haben, lesen Sie bitte die wichtigen Informationen hier:
Zur Information

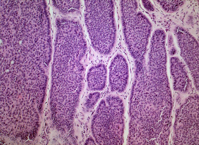
PathoPic – image database / PathoPic ID 5100 - Basaliom

de
Diagnose
Basaliom
Diagnose Gruppe
maligner Tumor
Topographie
Haut, Kopf
Topographie Gruppe
Haut
Beschreibung
Der Tumor besteht aus soliden Platten aus basaloiden Zellen. Die Zellen am Rand der soliden Zellplatten sind parallel und senkrecht zur Basalmembran ausgerichtet ( Palisadierung). Zwischen den Zellplatten und dem Stroma findet sich stellenweise ein typischer Retraktionsartefakt.
Klinik
Derber weisser, leicht erhabener Knoten an der Nase.
Bilder Typ
Histologie
Vergrösserung
100
Alter
83
Geschlecht
unbekannt
Datum
Ersteintrag: 08.07.2002