Wichtiger Sicherheitshinweis:
Pathorama wurde zwischen dem
26. und 27. Dezember 2025
angegriffen. Falls Sie die Website in diesem Zeitraum besucht haben, lesen Sie bitte die wichtigen Informationen hier:
Zur Information
Pathopic
HiPaKu
ZyPaKu
Projektinfos
PathoPic - Projekt- und Copyright-Info
About
Pathopic
HiPaKu
ZyPaKu
PathoPic – image database
/
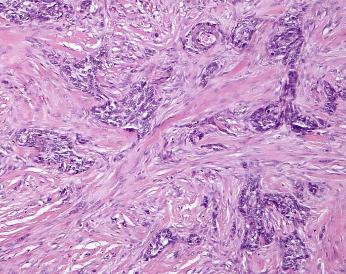
PathoPic ID 7680 - infiltratives sklerodermiformes Basaliom
de
Diagnose
infiltratives sklerodermiformes Basaliom
Diagnose Gruppe
Präneoplasie/ Atypie/ Dignität?
Topographie
Haut, Rumpf
Topographie Gruppe
Haut
Beschreibung
Basaloide Zellkomplexe werden von reichlich desmoplastischem Stroma komprimiert.
Klinik
Basaliom mit porzellanartiger weiss glänzender Oberfläche.
Kommentar
Dieser Tumor ist oft ausgedehnter als klinisch sichtbar. Die Schnittrandkontrolle muss deshalb intraoperativ mit Schnellschnitt erfolgen.
Bilder Typ
Histologie
Vergrösserung
100
Alter
70
Geschlecht
männlich
Datum
Ersteintrag: 04.01.2004
Update: 16.01.2004
CPS
·
©
2025 Institut für Pathologie Basel
/
Dr. med. Katharina Glatz-Krieger
.
·
v2.2