Wichtiger Sicherheitshinweis:
Pathorama wurde zwischen dem
26. und 27. Dezember 2025
angegriffen. Falls Sie die Website in diesem Zeitraum besucht haben, lesen Sie bitte die wichtigen Informationen hier:
Zur Information
Pathopic
HiPaKu
ZyPaKu
Projektinfos
PathoPic - Projekt- und Copyright-Info
About
Pathopic
HiPaKu
ZyPaKu
PathoPic – image database
/
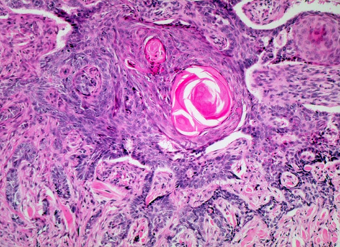
PathoPic ID 3951 - solides Basalzellkarzinom mit Verhornung
de
Diagnose
solides Basalzellkarzinom mit Verhornung
Diagnose Gruppe
maligner Tumor
Topographie
Haut, Kopf
Topographie Gruppe
Haut
Beschreibung
Zackig begrenzte Epithelverbände aus basaloiden Zellen mit randständiger Palisadierung. Hornperlen im Zentrum der grössten Epithelverbände.
Klinik
Stark ulzerierender Wangentumor links
Bilder Typ
Histologie
Vergrösserung
100
Alter
83
Geschlecht
männlich
Datum
Ersteintrag: 08.07.2002
CPS
·
©
2025 Institut für Pathologie Basel
/
Dr. med. Katharina Glatz-Krieger
.
·
v2.2