Wichtiger Sicherheitshinweis: Pathorama wurde zwischen dem 26. und 27. Dezember 2025 angegriffen. Falls Sie die Website in diesem Zeitraum besucht haben, lesen Sie bitte die wichtigen Informationen hier:
Zur Information

Staats/ Invasives Mammakarziom ohne besonderen Typ (Syn. invasives duktales Mammakarzinom)

Diagnose
Invasives Mammakarziom ohne besonderen Typ (Syn. invasives duktales Mammakarzinom)
Diagnose Gruppe
maligner Tumor
Differenzialdiagnose
Topographie Gruppe
Mamma
Topographie
Mamma
Einleitung
Morphologie:
 Makroskopisch bilden invasiv duktale Karzinome knotige weissgelbe Tumoren von harter Konsistenz mit sternförmigen Ausläufern. Das Fettgewebe in der Tumorperipherie ist meist auf einer Breite von 1-3mm orange verfärbt. Mammakarzinome können multifokal (mehrere Herde innerhalb eines Quadranten mit Abstand von weniger als 4cm) oder multizentrisch (> 2898) (Tumorherde in verschiedenen Quadranten mit mehr als 4cm Abstand) wachsen. 
 Histologisch bildet das Karzinom in Abhängigkeit vom Differenzierungsgrad drüsige und solide Tumorzellverbände. Etwa zwei Drittel der invasiven Karzinome weisen in ihrer Peripherie eine intraduktale Komponente auf (> 5187) (> 5185). Das duktale in situ Karzinom breitet sich kontinuierlich oder diskontinuierlich in den Milchgängen aus und kann sekundär in die Läppchen vorwachsen. Im Gegensatz zum invasiven Karzinom ist das in situ Karzinom von Myoepithelien und einer Basalmembran umgeben. Invasiv duktale Karzinome stellen mit 70 % den häufigsten histologischen Subtyp des Mammakarzinoms dar. Da seltenere Subtypen wie lobuläre (> 4220), tubuläre (> 3638), muzinöse (> 3866) und medulläre Karzinome (> 2900) eine unterschiedliche Prognose haben, ist die genaue histologische Tumorklassifizierung wichtig.
Der Pathologe beurteilt mehrere Parameter, die für Prognose und Therapie von entscheidender Bedeutung sind: 
  • Tumorgrösse 
  • Tumorbefall axillärer Lymphknoten 
  • Differenzierungsgrad (B.R.E. Grading: Tubulusbildung, zytologische Atypien, Mitoserate) 
  • Expression von Östrogen- und Progesteronrezeptoren (Immunhistochemie) 
  • Amplifikation des HER2 Onkogens (Immunhistochemie und Fluoreszenz in situ Hybridisierung) 
  • Proliferationsrange (Ki-67) (Immunhistochemie) Anhand der Expression von Hormonrezeptoren, des Her2-Status und der Proliferationsrate werden die Mammakarzinome in unterschiedliche biologische Subtypen eingeteilt, welche für die Therapiewahl entscheidend sind. 


update 22. September 2017 
Klinik
Vorkommen:
 Das Mammakarzinom stellt bei der Frau nach dem Bronchuskarzinom die häufigste Krebstodesursache dar. Die Inzidenz des Mammakarzinoms nimmt mit dem Alter zu. Über 65% der Frauen mit Mammakarzinom sind älter als 60. Lediglich 0.8-2.5% der Mammakarzinome treten bei Männern auf. Jährlich werden in der Schweiz 5000 neue Fälle diagnostiziert und 1350 Frauen sterben am Tumorleiden.

Risikofaktoren:
 Ein substantiell bedeutsames Risiko stellen höheres Alter, sowie eine positive Familienanamnese dar, die in etwa 5% aller Mammakarzinome vorliegt. Vererbbare Faktoren spielen aber bei bis zu 27% der Tumoren eine Rolle, wobei Mutationen von BRCA1 und BRCA2 nur in 30-40% der familiären Karzinome nachweisbar sind. Unumstritten ist die Rolle der Östrogene als Wachstumsfaktoren für das Mammakarzinom. 

Diagnostik:
 Durch klinische Untersuchung werden 5-10 % der Mammakarzinome entdeckt, die mammographisch dem Nachweis entgehen. Der Anteil der nur klinisch aufgedeckten Frühkarzinome ist aber sehr klein. Eine erste Basis-Mammographie kann ab dem 35. Lebensjahr durchgeführt werden. Ab dem 50. Lebensjahr wird in einigen Teilen der Schweiz bei allen Frauen dann alle 2 Jahre eine Screening-Mammographie durchgeführt. Tumorverdichtungen können bis zu einer Größe von 2-3 mm, Mikroverkalkungen bis zu einer Größe von 0.1 mm dargestellt werden. Jede Mammographie muss mit einer klinischen Untersuchung (Palpation und Inspektion) gekoppelt sein und bildet gemeinsam mit der Anamnese (Risikoerhebung) die Basis der Diagnostik. Mammographisch suspekte Befunde können durch radiologisch gesteuerte Feinnadelpunktion (Zytologie) oder Feinnadelbiopsie (Histologie) weiter abgeklärt werden. Der Hauptwert des Ultraschalls liegt in der Unterscheidung zwischen soliden und zystischen Prozessen. Bei Vorliegen einer Zyste kann in vielen Fällen eine Biopsie vermieden werden (nur Punktion). 

Therapie:
 Das duktale in situ Karzinom und das invasive Karzinom werden nach Möglichkeit brusterhaltend operiert. Die neoadjuvante Chemotherapie erhöht bei grossen Tumoren die Rate brusterhaltend operabler Tumoren. Sehr wichtig ist eine standardisierte Markierung der Operationspräparate (> 5134) durch den Operateur, damit der Pathologe den minimalen Abstand der Läsionen vom Resektionsrand festlegen und die genaue Tumorgrösse bestimmen kann. Meist wird bei invasiven Karzinomen eine intraoperative Schnellschnittuntersuchung des Sentinellymphknotens durchgeführt. Bei tumorfreiem Sentinel Lymphknoten oder nur 1-2 tumorbefallenen Sentinel-Lymphknoten kann eine vollständige Entfernung der axillären Lymphknoten vermieden werden. Nach brusterhaltender Therapie und bei erhöhtem Risiko für ein Lokalrezidiv ist eine Nachbestrahlung indiziert. Bei Hormonrezeptor-positiven Tumoren ist eine endokrine Therapie indiziert (Aromatasehemmer, Tamoxifen). In Abhängigkeit von Lymphknotenbefall, Tumorgrösse, Alter der Patientin und Risikofaktoren für ein Tumorrezidiv wird zustätzlich eine Chemotherapie durchgeführt. Antikörper gegen den HER2 Rezeptor (Trastuzumab, Pertuzumab) bzw. der Tyrosinkinaseinhibitor (Lapatinib) wird bei Tumoren mit Amplifikation des HER2 Gens erfolgreich neoadjuvant, adjuvant und bei metastasiertem Tumorleiden eingesetzt. Wichtig für eine optimale Patientenbetreuung ist eine enge Zusammenarbeit zwischen Radiologen, Gynäkologen oder Chirurgen und Pathologen. 

Verlauf:
 Das Mammakarzinom ist meist schon bald nach seinem Entstehen eine systemische Erkrankung, weshalb die Systemtherapie unabdinbar ist. Trotzdem kommt es bei einem Teil der Patientinnen, vor allem bei Her2-positiven und triple-negativen Mammakarzinomen, zur Entwicklung von Fernmetastasen. Hier sind vor allem Knochen, Leber und Lunge betroffen.

Prognose:
 Die Prognose von Patientinnen mit Mammakarzinom hat sich in den letzten Jahrzenten dank gezielter systemischer Therapie kontinuierlich verbessert. Der Befall der axillären Lymphknoten ist der wichtigste prognostische Faktor. Bei ca. 50 % der Patientinnen bestehen bei der Primärdiagnose axilläre Lymphknotenmetastasen. Weiter prognostisch relevant sind Tumorgrösse, histologisches Grading (schlechter bei geringer Differenzierung), Hormonrezeptorstatus (besser bei erhaltener Expression), HER2 Status (schlechter bei Amplifikation) und Alter. 

update 22. September 2017
Normalbefund
Morphologie
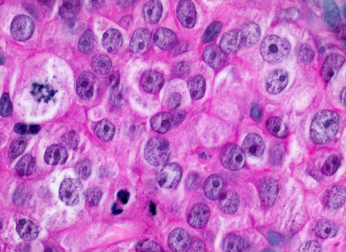
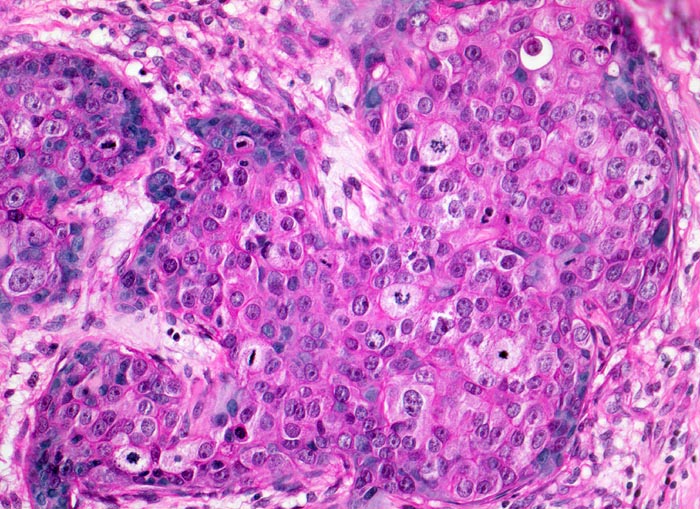
Morphologische Merkmale: 
  •  Invasives duktales Karzinom mit desmoplastischem Stroma rechts unten im Präparat. 
  •  Die Karzinominfiltrate bestehen aus schmalen soliden Zellsträngen, die keine Drüsenlumina ausbilden. Eine Myoepithelschicht fehlt. Kein assoziierter Mikrokalk. 
  • Mässig zahlreiche Mitosefiguren und Apoptosen. 
  • Die Karzinomzellen sind deutlich grösser als die normalen sekretorischen Zellen der nicht neoplastischen Drüsenazini. Die vesikulären Zellkerne sind vergrössert, pleomorph und hyperchromatisch. Die Kernmembran ist teils irregulär. Die Tumorzellkerne enthalten prominente eosinophile Nukleolen. 
  • Das Zytoplasma einiger Tumorzellen enthält runde bis ovale hyaline Globuli, teils umgeben von einem Halo (unspezifischer Befund). 
  • Das Karzinom ist gering differenziert: B.R.E. Grad 3; Score 8: 3, 3, 2. Keine Drüsenbildung: Score 3 Starke Zellatypien: Score 3 <10 Mitosen/10 HPF: Score 2 
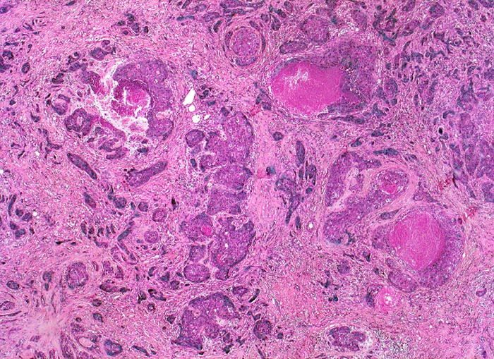
  • In den bindegewebigen Ausläufern dilatierte Gangstrukturen mit peritumoralem duktalem Carcinoma in situ mit hohem Kernmalignitätsgrad (Grad 3, kribriformer und solider Typ mit Komedonekrosen, kein assoziierter Mikrokalk). Erhaltene Myoepithelschicht im Bereich des in situ Karzinoms. 
  • Läppchenkanzerisierung (Ausbreitung des Karzinoms in den Azini der Drüsenläppchen). 
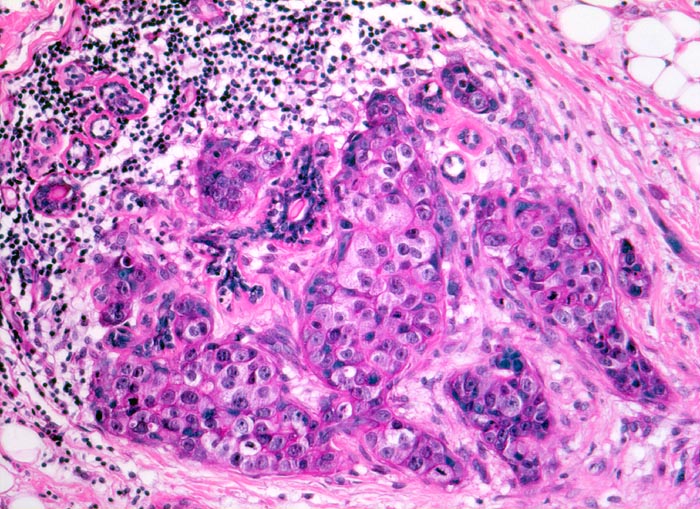
  • Peritumorale Arterie mit assoziiertem dilatiertem Lymphgefäss mit intraluminalem Tumor (Lymphangiosis carcinomatosa). 
  • Tumorfernes Mammaparenchym mit leichter Fibrose. 
  •  Spärlich Mikrokalk assoziiert mit benignen Drüsenazini. Das sollte der Kliniker dem Pathologen mitteilen: 
  • Radiologischer Befund. 
  • Ergebnis vorausgegangener Untersuchungen (Zytologie, Stanzbiopsie). Praxis-Tipp: 
  • Anzahl und Lokalisation von Tumorherden in einer Skizze einzeichnen! 
  • Probeexzisate in drei Dimensionen (mammillennah, mammillenfern und lateral oder medial) mit unterschiedlichen Fäden (kurz-lang) markieren. 
  • Mastektomiepräparate kranial und lateral bzw. medial markieren. 


update 20. August 2017 
Makroskopie
Befund
Pathologischer Befund
Normalbefund
Datum
Ersteintrag: 10.07.2019
Update: 01.09.2020