Wichtiger Sicherheitshinweis: Pathorama wurde zwischen dem 26. und 27. Dezember 2025 angegriffen. Falls Sie die Website in diesem Zeitraum besucht haben, lesen Sie bitte die wichtigen Informationen hier:
Zur Information

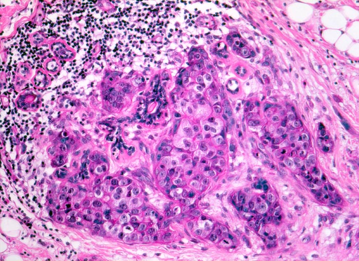
PathoPic – image database / PathoPic ID 4663 - invasives duktales Mammakarzinom: Kanzerisierung eines Läppchens

de
Diagnose
invasives duktales Mammakarzinom: Kanzerisierung eines Läppchens
Diagnose Gruppe
maligner Tumor
Topographie
Mamma
Topographie Gruppe
Mamma
Beschreibung
Das Karzinom hat sich retrograd über den Ductus lactiferus in die Azini eines Läppchens ausgebreitet. Die läppchenförmige Anordnung der tumorbefallenen Azini ist noch erkennbar. Ein einzelner Azinus ist nicht tumorbefallen. Das Karzinom wächst an dieser Stelle nicht invasiv. Die tumorinfiltrierten Tubuli sind von einer Basalmembran umgeben.
Zusatzbefund
Makroskopisch: derber weisser Herd von 2.2cm Durchmesser im oberen äusseren Quadranten.
Klinik
Die Patientin hatte bei der Selbstuntersuchung einen harten Knoten in der rechten Mamma palpiert. Nach dem Nachweis von Karzinomzellen in der Feinnadelpunktion wurde eine Lumpektomie durchgeführt. Die intraoperative Schnellschnittuntersuchung ergab tumorfreie Resektionsränder.
Bilder Typ
Histologie
Vergrösserung
160
Alter
54
Geschlecht
unbekannt
Datum
Ersteintrag: 06.10.2002