Wichtiger Sicherheitshinweis: Pathorama wurde zwischen dem 26. und 27. Dezember 2025 angegriffen. Falls Sie die Website in diesem Zeitraum besucht haben, lesen Sie bitte die wichtigen Informationen hier:
Zur Information

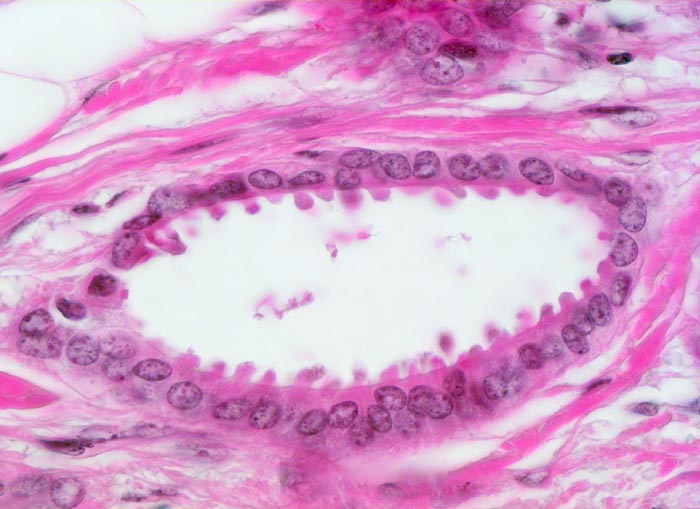
PathoPic – image database / PathoPic ID 3638 - tubuläres Karzinom

de
Diagnose
tubuläres Karzinom
Diagnose Gruppe
maligner Tumor
Topographie
Mamma
Topographie Gruppe
Mamma
Beschreibung
Tubuläre einreihige Karzinomdrüse ohne Basalmembran. Die Tumorzellen zeigen auffallende apikale Ausziehungen des Zytoplasmas (Snouts). Die Tumorzellkerne sind auffallend bland. Eine Myoepithelschicht fehlt.
Klinik
Positive Familienanamnese für Mammakarzinom. Tumorverdächtiger Herd in der rechten Mamma.
Bilder Typ
Histologie
Vergrösserung
400
Alter
46
Geschlecht
unbekannt
Datum
Ersteintrag: 27.12.2001
Update: 26.06.2006