Wichtiger Sicherheitshinweis: Pathorama wurde zwischen dem 26. und 27. Dezember 2025 angegriffen. Falls Sie die Website in diesem Zeitraum besucht haben, lesen Sie bitte die wichtigen Informationen hier:
Zur Information

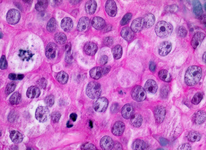
PathoPic – image database / PathoPic ID 4666 - wenig differenziertes invasives duktales Mammakarzinom

de
Diagnose
wenig differenziertes invasives duktales Mammakarzinom
Diagnose Gruppe
maligner Tumor
Topographie
Mamma
Topographie Gruppe
Mamma
Beschreibung
Scharf begrenzte rundliche Tumorzellen mit reichlich Zytoplasma und grossen hyperchromatischen Kernen mit grossen Nukleolen. Mitose am linken Bildrand.
Zusatzbefund
Makroskopisch: derber weisser Herd von 2.2cm Durchmesser im oberen äusseren Quadranten.
Klinik
Die Patientin hatte bei der Selbstuntersuchung einen harten Knoten in der rechten Mamma palpiert. Nach dem Nachweis von Karzinomzellen in der Feinnadelpunktion wurde eine Lumpektomie durchgeführt. Die intraoperative Schnellschnittuntersuchung ergab tumorfreie Resektionsränder.
Bilder Typ
Histologie
Vergrösserung
630
Alter
54
Geschlecht
unbekannt
Datum
Ersteintrag: 06.05.2002