Wichtiger Sicherheitshinweis: Pathorama wurde zwischen dem 26. und 27. Dezember 2025 angegriffen. Falls Sie die Website in diesem Zeitraum besucht haben, lesen Sie bitte die wichtigen Informationen hier:
Zur Information

AP/ Morbus Paget des Knochens

Diagnose
Morbus Paget des Knochens
Diagnose Gruppe
Entzündung infektiös
Differenzialdiagnose
Topographie Gruppe
Knochen, Knorpel, Gelenke
Topographie
Knochen, Tibia
Einleitung
Aetiologie:
Der Morbus Paget (=Osteitis deformans) des Knochens ist eine chronische Erkrankung des Skelettes mit fokalen Arealen von gesteigertem Knochenumbau und Ersatz der normalen Knochenmatrix durch weichen und vermehrten Knochen. Sehr wahrscheinlich handelt es sich um eine "slow virus" Erkrankung. Gelegentlich tritt die Krankheit familiär auf.

Lokalisation:
Monostotische Formen befallen vor allem Becken, Femur und Tibia. Bei polyostotischer Form sind besonders Schädel, Wirbelsäule, Becken, Femur und Tibia betroffen.

Morphologie:
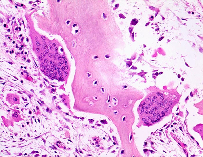
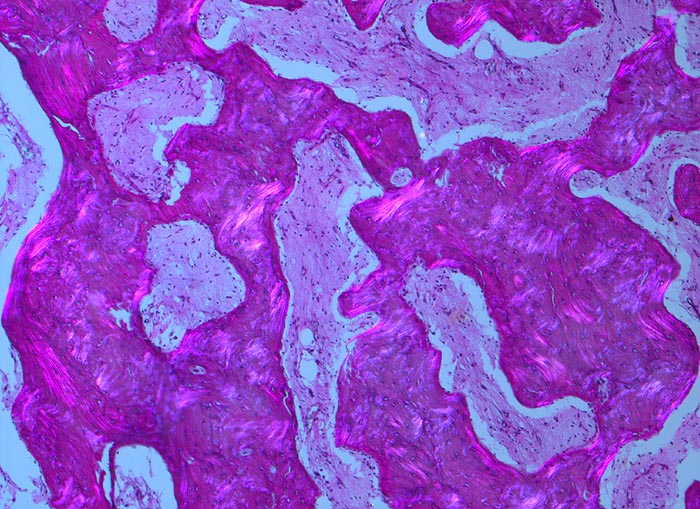
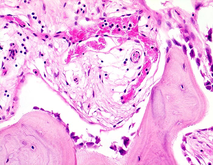
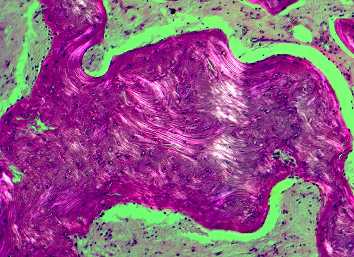
An den betroffenen Stellen ist sowohl der Knochenabbau als auch der Knochenanbau gesteigert. Die Osteoklasten sind auffallend gross und enthalten sehr viele Kerne (> 3518). Die aktivierten Osteoblasten produzieren verdickte und grob geflochtene Spongiosabälkchen. Der neugebildete Knochen ist strukturell und morphologisch abnorm und schlecht mineralisiert. Der Knochen wird dadurch weich und anfällig auf Frakturen oder Deformation unter Belastung (nach vorne gebogene Säbelscheidentibia). Das Knochenmark wird ersetzt durch fibrovaskuläres lockeres Stroma, welches an Granulationsgewebe erinnert. Mikroskopisch werden eine osteolytische Initialphase, eine Umbauphase mit verstärkter Knochenneubildung und eine sklerosierende Stabilisationsphase mit strukturellem Umbau und Spongiosierung der Kortikalis (verbreiterte spongiosaartige Kortikalis) unterschieden.
Klinik
Vorkommen:
Die Prävalenz bei Personen über 40 Jahre beträgt etwa 3%. Männer überwiegen in einem Verhältnis von 3:2. Die Erkrankung ist selten bei Patienten unter 55 Jahren und wird im Alter zunehmend häufig. Am häufigsten ist der Morbus Paget in Ost- und Westeuropa, England, Australien und Neuseeland.

Symptomatik:
Meist verläuft die Erkrankung asymptomatisch. Einige Patienten klagen über Schmerzen, Steifigkeit, Ermüdbarkeit, Knochendeformitäten (der Hut ist zu klein), Kofpschmerzen oder Hörstörungen. Schmerzen können im befallenen Knochen selbst entstehen, durch Kompression eines Nerven oder eine begleitende Arthrose.

Komplikationen:
Ein Wirbelbefall kann Paresen oder eine Paraplegie durch Kompression des Rückenmarks verursachen. Die gesteigerte metabolische Aktivität in den betroffenen Knochen kann eine Herzinsuffizienz zur Folge haben. Weniger als 1% der Patienten entwickeln ein sekundäres Osteosarkom oder noch seltener andere Tumoren.

Diagnostik:
Oft wird die Diagnose als Zufallsbefund in einem Röntgenbild (> 5037) gestellt. Das Röntgenbild zeigt eine erhöhte Knochendichte, eine Verdickung der Corticalis, eine Knochendeformität und eventuell Mikrofrakturen. Die alkalische Phosphatase im Serum ist erhöht, während Kalzium und Phosphatspiegel im Normbereich liegen. Im Urin und im Serum lassen sich erhöhte Hydroxyprolinspiegel nachweisen (Kollagenabbau). Eine Knochenszintigraphie kann als Screeninguntersuchung zur Lokalisierung von Paget Herden verwendet werden.

Therapie:
Die lokalisierte asymptomatische Erkrankung erfordert keine Therapie. NSAR können zur Schmerzlinderung verabreicht werden. Einigen Patienten kann mit einem orthopädischen Eingriff geholfen werden. Als medikamentöse Therapie können zur Reduktion des Knochenumbaus Bisphosphonate oder Calcitonin eingesetzt werden.
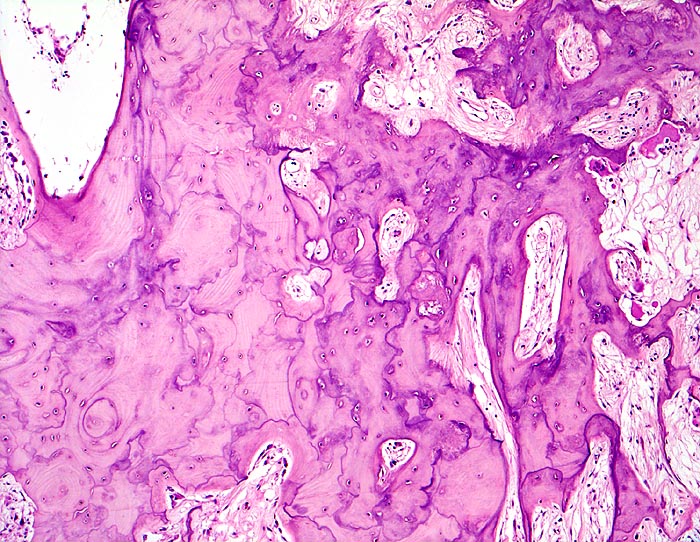
Morphologie
Morphologische Merkmale:
  • Die Spongiosabälkchen sind auffallend verdickt, vermehrt und unregelmässig geformt.
  • Prominente Zementlinien sind mosaikartig angeordnet.
  • Riesenosteoklasten mit über 20 Kernen sind an der Knochenoberfläche erkennbar.
  • Vermehrte kubische aktive Osteoblasten bauen Knochen an.
  • Lockere Markfibrose.
Das sollte der Kliniker dem Pathologen mitteilen:
  • Radiologischer Befund.
Makroskopie
Virtuelles Präparat
Befund
Pathologischer Befund
Normalbefund
Literatur
Datum
Ersteintrag: 04.11.2018
Update: 04.11.2018