Wichtiger Sicherheitshinweis: Pathorama wurde zwischen dem 26. und 27. Dezember 2025 angegriffen. Falls Sie die Website in diesem Zeitraum besucht haben, lesen Sie bitte die wichtigen Informationen hier:
Zur Information

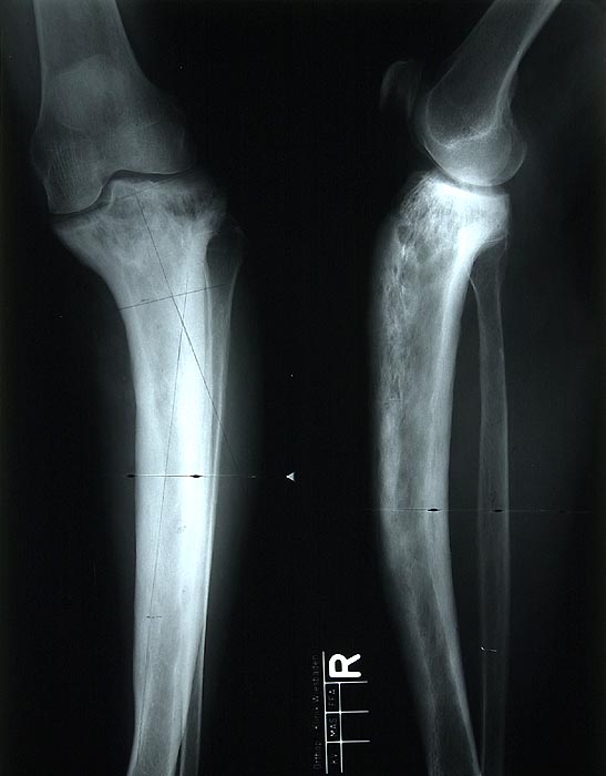
PathoPic – image database / PathoPic ID 5037 - Morbus Paget

de
Diagnose
Morbus Paget
Diagnose Gruppe
Entzündung infektiös
Topographie
Knochen, Tibia
Topographie Gruppe
Knochen, Knorpel, Gelenke
Beschreibung
Im konventionellen Röntgenbild fällt eine grobsträhnig unscharfe und unregelmässig angeordnete Spongiosa auf sowie eine Verdickung der Kortikalis. Insgesamt ist der Knochen vergrössert. Aufgrund der verminderten Belastbarkeit hat sich die befallene Tibia nach ventral und lateral verbogen.
Bilder Typ
Radiologie
Alter
84
Geschlecht
männlich
Datum
Ersteintrag: 05.07.2002