Wichtiger Sicherheitshinweis: Pathorama wurde zwischen dem 26. und 27. Dezember 2025 angegriffen. Falls Sie die Website in diesem Zeitraum besucht haben, lesen Sie bitte die wichtigen Informationen hier:
Zur Information

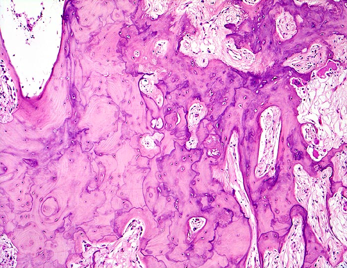
PathoPic – image database / PathoPic ID 4506 - Morbus Paget des Knochens

de
Diagnose
Morbus Paget des Knochens
Diagnose Gruppe
Entzündung infektiös
Topographie
Knochen, Tibia
Topographie Gruppe
Knochen, Knorpel, Gelenke
Beschreibung
Verbreiterte unregelmässig geformte Spongiosabälkchen mit mosaikartig verlaufenden Kittlinien. Markfibrose. Auffallend grosse Resorptionslakunen mit grossen Osteoklasten.
Klinik
Die Patientin hatte wiederholt über Knieschmerzen geklagt. Autoptisch zeigte das Kniegelenk eine leichte Arthrose. Aus der auffallend verdickten Tibia wurde eine Gewebsprobe zur Untersuchung entnommen.
Kommentar
Für die histologische Diagnose eines Morbus Paget sind folgende Strukturen entscheidend:
Riesenosteoklasten mit mehr als 12 Zellkernen pro Osteoklast
grosse Resorptionslakunen
stimulierte Osteoblasten
milde Endostfibrose
girlandenartig verlaufende Kittlinien
Bilder Typ
Histologie
Vergrösserung
50
Alter
87
Geschlecht
unbekannt
Datum
Ersteintrag: 09.06.2002