Wichtiger Sicherheitshinweis: Pathorama wurde zwischen dem 26. und 27. Dezember 2025 angegriffen. Falls Sie die Website in diesem Zeitraum besucht haben, lesen Sie bitte die wichtigen Informationen hier:
Zur Information

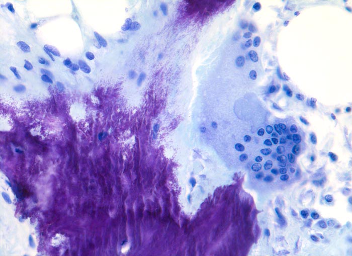
PathoPic – image database / PathoPic ID 3518 - Osteodystrophia deformans Paget

de
Diagnose
Osteodystrophia deformans Paget
Diagnose Gruppe
Entzündung infektiös
Topographie
Knochenmark, Beckenkamm
Topographie Gruppe
Knochen, Knorpel, Gelenke
Beschreibung
Die Spongiosa ist sehr plump strukturiert. Resorptionslakunen mit auffällig grossen mehrkernigen Osteoklasten.
Klinik
Schmerzen im Bereich der rechten Hüfte.
Kommentar
Bei renalen Osteopathien mit vermehrtem Knochenabbau treten nur selten Osteoklasten mit mehr als 12 Kernen auf. Auch bei Osteomalazie oder primärem Hyperparathyreoidismus enthalten die Osteoklasten in der Regel weniger als 10 Zellkerne.
Bilder Typ
Histologie
Vergrösserung
320
Alter
52
Geschlecht
männlich
Datum
Ersteintrag: 09.06.2002