Wichtiger Sicherheitshinweis: Pathorama wurde zwischen dem 26. und 27. Dezember 2025 angegriffen. Falls Sie die Website in diesem Zeitraum besucht haben, lesen Sie bitte die wichtigen Informationen hier:
Zur Information

AP/ Medulloblastom (WHO Grad IV)

Diagnose
Medulloblastom (WHO Grad IV)
Diagnose Gruppe
maligner Tumor
Differenzialdiagnose
Topographie Gruppe
Nervensystem
Topographie
Hirnstamm
Einleitung
Histogenese:
Das Medulloblastom (WHO Grad IV) ist ein maligner embryonaler Tumor mit überwiegend neuronaler Differenzierung lokalisiert im Kleinhirn oder im Dach des vierten Ventrikels.

Lokalisation:
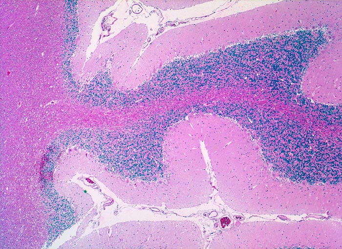
Dreiviertel der Tumoren entstehen im Kleinhirnwurm und breiten sich von dort in den vierten Ventrikel aus. Spinale Liquormetastasen bestehen in 15-40%, extraneurale Metastasen vor allem in Knochen und Lymphknoten in 4%.

Morphologie:
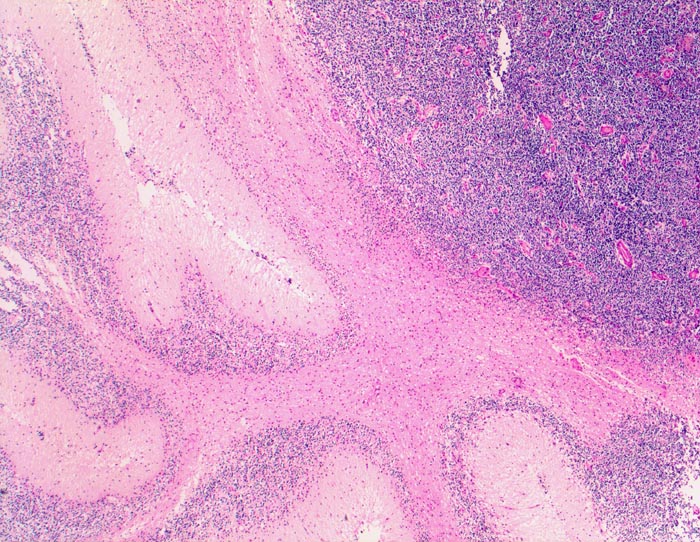
Die Makroskopie ist variabel. Meist sind Medulloblastome unscharf begrenzt, grau und weich, gelegentlich aber auch scharf begrenzt und derb.
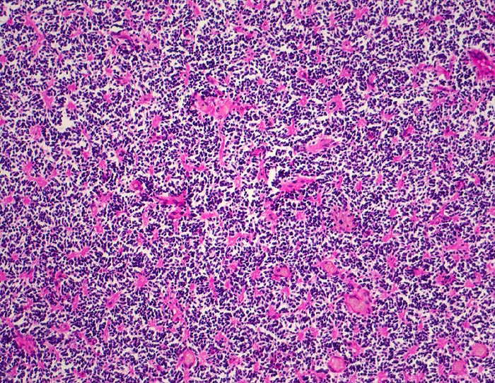
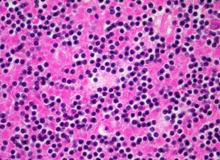
Wegen der hohen Zelldichte und der hohen Kern-Zytoplasmarelation erscheinen die Tumoren in der HE Färbung blau. Medulloblastome müssen differentialdiagnostisch von morphologisch ähnlichen kleinzelligen undifferenzierten Karzinomen und Lymphomen abgegrenzt werden. Das klassische Medulloblastom besteht aus dicht gepackten Zellen mit runden bis ovalen oder karottenförmigen stark hyperchromatischen Kernen umgeben von wenig Zytoplasma. Runde Zellen mit weniger dichtem Chromatin sind oft beigemischt. Zahlreiche Mitosen, flächenhafte Nekrosen und Apoptosen sind typisch. In weniger als einem Drittel der Fälle findet man die typischen Homer-Wright Rosetten. Diese bestehen aus ringförmig angeordneten Tumorzellkernen um ein fibrilläres Zentrum aus Zytoplasmafortsätzen.
Klinik
Vorkommen:
jährliche Inzidenz liegt bei 0.5 pro 100'000 Kinder unter 15 Jahren. 30% der Hirntumoren bei Kindern sind Medulloblastome. Das mittlere Erkrankungsalter liegt bei 7 Jahren. 70% der Betroffenen sind jünger als 16 und nur sehr wenige sind über 50 Jahre alt. 65% der Patienten sind männlichen Geschlechts.

Symptomatik:
Aufgrund seiner Lage stehen zerebelläre Symptome wie Ataxie, Gangstörungen, Paresen von 4. und 6. Hirnnerv und Hirndruck wegen gestörter Liquorzirkulation (Lethargie, Kopfschmerzen, morgendliches Erbrechen) im Vordergrund. Patienten mit Liquormetastasen beklagen sich über extreme Schwäche (Tumorkompression von Rückenmark oder Nervenwurzeln). Die Anamnese ist meist kurz.

Diagnostik:
Im CT oder MRI erscheinen Medulloblastome als solide, intensiv und homogen Kontrastmittel anreichernde Tumormassen.

Therapie:
Anschliessend an die Operation wird eine Bestrahlung des Tumorgebietes und der gesamten Neuraxis durchgeführt. Der exakte Benefit der heute standardmässig durchgeführten Chemotherapie ist noch nicht völlig geklärt.

Prognose:
Am besten ist die Prognose bei makroskopisch vollständiger Resektion, fehlendem radiologischem Nachweis von Liquormetastasen und negativer Liquorzytologie. Rezidive sind häufig und treten meist innerhalb der ersten zwei Jahre nach Primärtherapie auf. Die 5 Jahres Überlebensrate liegt bei 50-80%.
Normalbefund
Morphologie
Morphologische Merkmale:
  • Scharf begrenzter rundlicher sehr zellreicher (deshalb blauer) Tumor.
  • Monomorpher Zellrasen mit hyperchromatischen ovalen oder karottenförmigen Zellkernen.
  • Kaum erkennbares Zytoplasma.
  • Homer-Wright Rosetten aus ringförmig angeordneten Tumorzellkernen um ein fibrilläres Zentrum aus Zytoplasmafortsätzen.
Das sollte der Kliniker dem Pathologen mitteilen:
  • Tumorlokalisation.
  • Extrakranielle Tumormanifestation.
Makroskopie
Virtuelles Präparat
Befund
Pathologischer Befund
Normalbefund
Datum
Ersteintrag: 15.04.2010
Update: 15.04.2010