Wichtiger Sicherheitshinweis:
Pathorama wurde zwischen dem
26. und 27. Dezember 2025
angegriffen. Falls Sie die Website in diesem Zeitraum besucht haben, lesen Sie bitte die wichtigen Informationen hier:
Zur Information
Pathopic
HiPaKu
ZyPaKu
Projektinfos
PathoPic - Projekt- und Copyright-Info
About
Pathopic
HiPaKu
ZyPaKu
PathoPic – image database
/
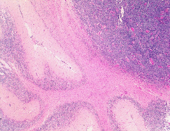
PathoPic ID 5241 - Medulloblastom
de
Diagnose
Medulloblastom
Diagnose Gruppe
maligner Tumor
Topographie
Kleinhirn
Topographie Gruppe
Nervensystem
Beschreibung
Angrenzend an die Kleinhirnrinde links im Bild scharf begrenzter sehr zellreicher
Tumor.
Klinik
Knabe mit Kopfschmerzen und morgendlichem Erbrechen ohne Übelkeit
Bilder Typ
Histologie
Vergrösserung
25
Alter
7
Geschlecht
männlich
Datum
Ersteintrag: 23.07.2002
CPS
·
©
2025 Institut für Pathologie Basel
/
Dr. med. Katharina Glatz-Krieger
.
·
v2.2