Wichtiger Sicherheitshinweis: Pathorama wurde zwischen dem 26. und 27. Dezember 2025 angegriffen. Falls Sie die Website in diesem Zeitraum besucht haben, lesen Sie bitte die wichtigen Informationen hier:
Zur Information

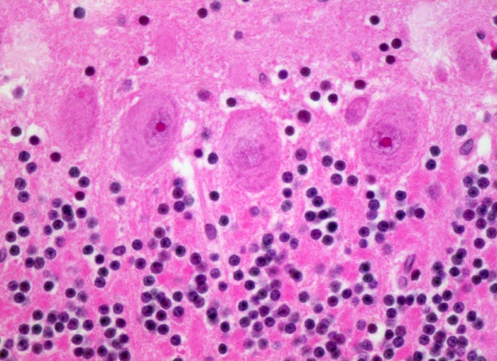
PathoPic – image database / PathoPic ID 5218 - Kleinhirnrinde

de
Diagnose
Kleinhirnrinde
Diagnose Gruppe
Normalbefund
Topographie
Kleinhirn
Topographie Gruppe
Nervensystem
Beschreibung
Von aussen nach innen: Molekulareschicht mit nur wenigen Nerven- und Gliazellen, Ganglienzellschicht mit grossen Purkinjezellen, zellreiche Körnerschicht.
Bilder Typ
Histologie
Vergrösserung
40
Geschlecht
weiblich
Datum
Ersteintrag: 23.07.2002