Wichtiger Sicherheitshinweis: Pathorama wurde zwischen dem 26. und 27. Dezember 2025 angegriffen. Falls Sie die Website in diesem Zeitraum besucht haben, lesen Sie bitte die wichtigen Informationen hier:
Zur Information

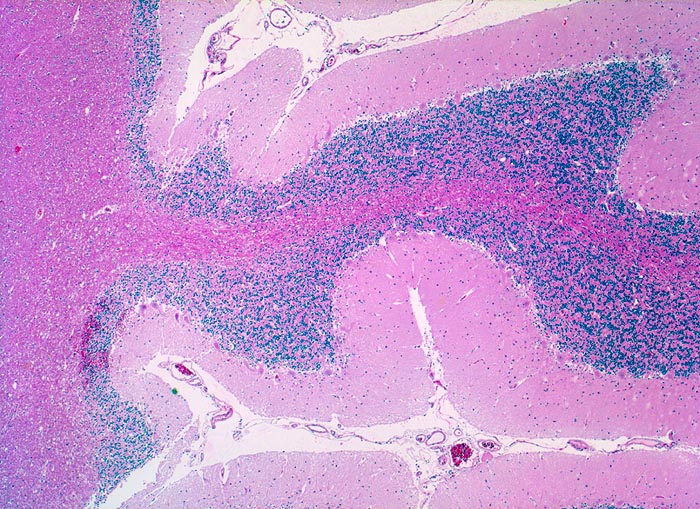
PathoPic – image database / PathoPic ID 5219 - Kleinhirn

de
Diagnose
Kleinhirn
Diagnose Gruppe
Normalbefund
Topographie
Kleinhirn
Topographie Gruppe
Nervensystem
Beschreibung
Links im Bild das Kleinhirnmark. Rechts die gefaltete Kleinhirnrinde bedeckt von Leptomeningen.
Schichten der Kleinhirnrinde:
- Molekulareschicht
- Ganglienzellschicht
- Körnerzellschicht
Bilder Typ
Histologie
Vergrösserung
25
Geschlecht
weiblich
Datum
Ersteintrag: 23.07.2002