Wichtiger Sicherheitshinweis: Pathorama wurde zwischen dem 26. und 27. Dezember 2025 angegriffen. Falls Sie die Website in diesem Zeitraum besucht haben, lesen Sie bitte die wichtigen Informationen hier:
Zur Information

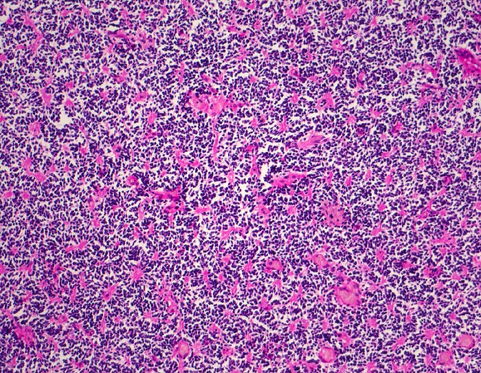
PathoPic – image database / PathoPic ID 5242 - Medulloblastom: Homer Wright Rosetten

de
Diagnose
Medulloblastom: Homer Wright Rosetten
Diagnose Gruppe
maligner Tumor
Topographie
Kleinhirn
Topographie Gruppe
Nervensystem
Beschreibung
Monomorpher Zellrasen mit hyperchromatischen Zellen ohne erkennbares Zytoplasma. Multiple Homer Wright Rosetten erkennbar am eosinophilen Zentrum aus Zellfortsätzen.
Klinik
Knabe mit Kopfschmerzen und morgendlichem Erbrechen ohne Übelkeit
Bilder Typ
Histologie
Vergrösserung
100
Alter
7
Geschlecht
männlich
Datum
Ersteintrag: 23.07.2002