Wichtiger Sicherheitshinweis: Pathorama wurde zwischen dem 26. und 27. Dezember 2025 angegriffen. Falls Sie die Website in diesem Zeitraum besucht haben, lesen Sie bitte die wichtigen Informationen hier:
Zur Information

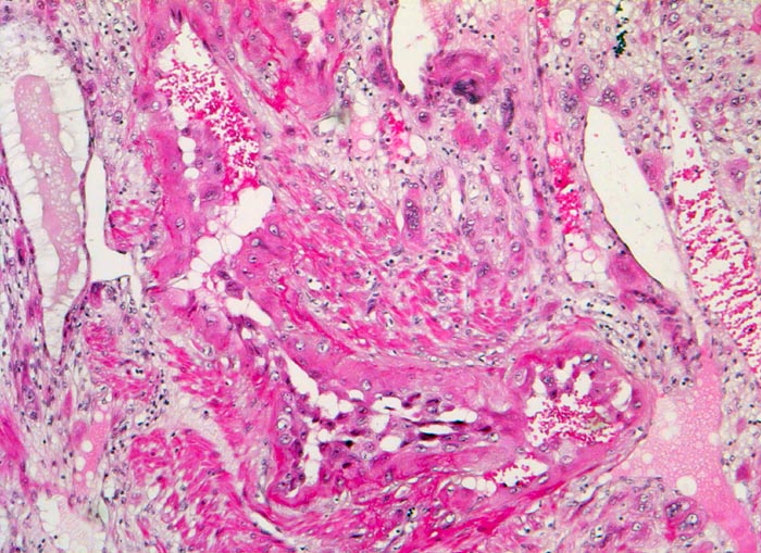
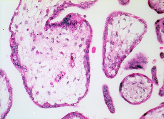
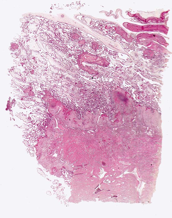
AP/ Uterus mit normaler Plazenta 11. SSW

Diagnose
Uterus mit normaler Plazenta 11. SSW
Diagnose Gruppe
Normalbefund
Differenzialdiagnose
Topographie Gruppe
Paidopathologie
Topographie
Plazenta
Einleitung
Morphologie:
Der physiologische Ablauf einer Gravidität wird von zahlreichen mütterlichen und fetalen Faktoren beeinflusst. Jeder Faktor ist störbar und kann den Erfolg der Schwangerschaft gefährden. Die Pathomorphologie der Plazenta wird nur unter Kenntnis der normalen Entwicklung der Plazenta und deren inniger Beziehung zur uterinen Implantations- und Plazentationszone verständlich. Die pathomorphologische Plazentadiagnostik kann unter Berücksichtigung der klinisch bekannten Schwangerschaftsparameter eine relevante Aussage zu Ursachen einer intrauterinen Entwicklungsstörung des Kindes oder Risikofaktoren für dessen postnatale Entwicklung aufdecken. Die Weitergabe dieser klinischen Parameter an den Pathologen ist essentiell. Dazu gehören die Angabe des Gestationsalters und Hinweise auf bekannte mütterliche Vorerkrankungen und Risikofaktoren (Hypertonie, Präeklampsie, Diabetes mellitus, Autoimmunerkrankungen, Nikotinabusus, Infekt) oder kindliche Erkrankungen (intrauterine Wachstumsretardierung, Infekt, Zeichen einer akuten oder chronischen Plazentainsuffizienz, Fehlbildungen...).
Bereits in der Frühschwangerschaft werden die Weichen für eine gute Nährstoffversorgung des Feten gestellt. In der frühen Implantationsphase gewinnt der extravillöse Trophoblast Anschluss an die mütterlichen dezidualen und myometrialen Spiralarterien, invadiert die Arterien-Wand, und ersetzt obligat die glatte Muskulatur derselben. Diese physiologisch transformierten Arterien bleiben weitgestellt und stellen einen konstanten Blutfluss unter niedrigen Druckbedingungen sicher, ohne Risiko der Vasokonstriktion. Eine ungenügende vaskuläre Transformation gilt als Riskofaktor für die Entwicklung einer Prä-Eklampsie.
Der maternofetale Stoffaustausch geschieht über die syncytiokapillären Membranen der Zottenoberfläche und erfordert eine fortschreitende Zottenverzweigung und Reifung der Zotten, um im Verlauf der Schwangerschaft an Kapazität mit dem Wachstum des Feten Schritt zu halten.

Anmerkung:
Da es sich bei der Gravidität um einen physiologischen Vorgang handelt, sind die Bilder dieses Präparates in der Spalte mit den Normalbefunden auf der rechten Seite zu sehen.
Klinik
Diagnostik:
Im Folgenden sind die Indikationen für eine histolopathologische Beurteilung der Plazenta aufgelistet:

Mütterliche Erkrankungen:
  • Manifester Diabetes mellitus oder Glucoseintoleranz
  • Hypertonie
  • Koagulopathie
  • Vorausgegangene Fehlgeburten
  • Eine oder mehr vorausgegangene Fehlgeburten
  • Oligo/ Polyhydramnion
  • Fieber, Infekt
  • Medikamenteneinnahme während der Schwangerschaft Alkohol- oder Drogenabusus in der Anamnese
  • Vaginale Blutungen
  • Vorzeitige Lösung

Fetale und neonatale Erkrankungen/Entwicklunsstörungen:
  • Fehlgeburt oder perinataler Tod
  • Frühgeburt (<37. SSW) oder überlange Tragzeit (>42. SSW)
  • Mehrlingsschwangerschaften
  • Kongenitale Abnormitäten
  • Hydrops
  • Visköses Mekonium
  • Apgar weniger als 4 nach 5 Minuten
  • Neurologische Probleme inklusive Anfälle
  • Abort
  • Manifeste oder vermutete Infektion

Abnormitäten der Plazenta:
  • Makroskopisch auffällige Anomalien der Plazenta, der Eihäute oder der Nabelschnur
  • Anomalie des Implantationsortes (z.B.Plazenta praevia)
  • Makroskopisch auffällige Anomalien der Plazenta, der Eihäute oder der Nabelschnur
  • Chorangiom


Anmerkung:
Die Plazenta sollte wenn möglich frisch eingesandt werden.
Zur Autopsie einer Totgeburt gehört auch die Beurteilung der Plazenta.
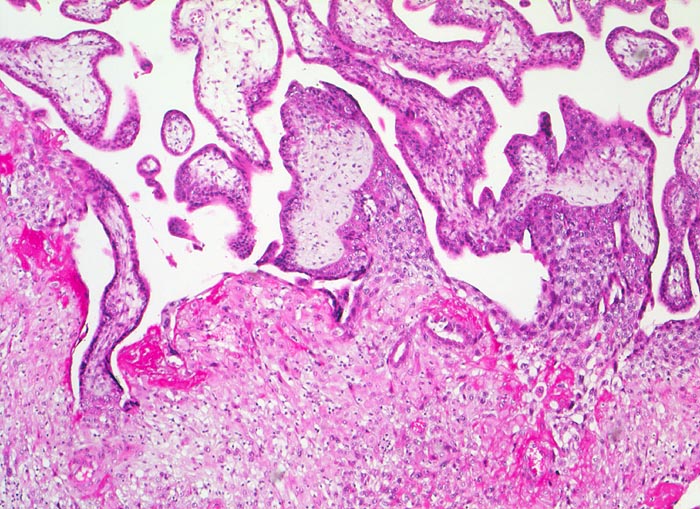
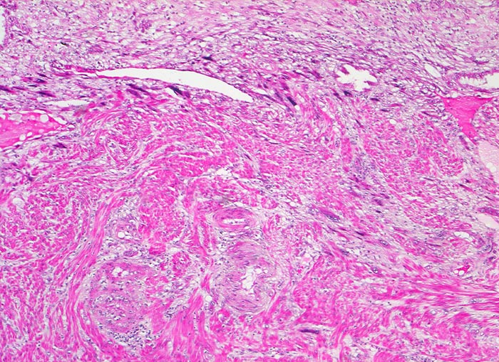
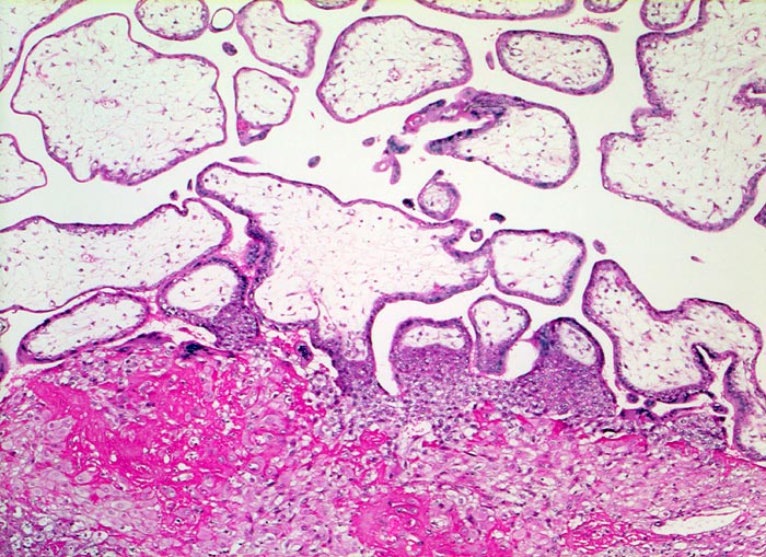
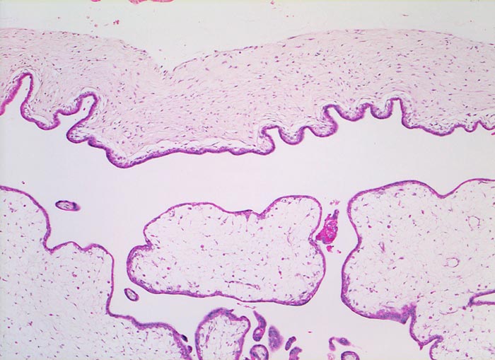
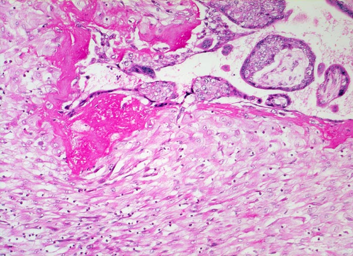
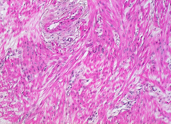
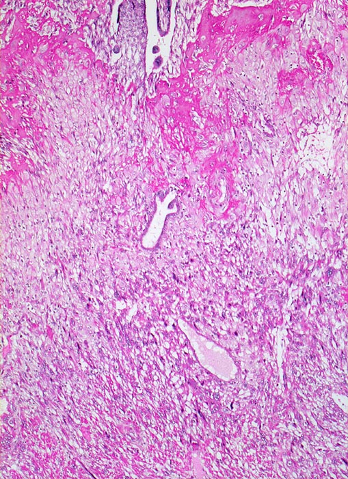
Normalbefund
Morphologie
Morphologische Merkmale:
  • Myometrium bedeckt von dezidualisiertem Endometriumstroma der Dezidua basalis.
  • Invasion des Myometriums durch intermediären extravillösen Trophoblast.
  • Fibrinoidschicht.
  • Chorionzotten, ein Teil davon verankert mit dem dezidual transformierten Endometrium = Dezidua basalis (Haftzotten).
  • Choriondeckplatte.
  • Rechts oben Anteile des Chorion laeve.
Praxis-Tipp:
  • Die Plazenta sollte unfixiert eingesandt werden. Sie kann über ein bis zwei Tage bei Kühlschrank-Temperatur gelagert werden. Einfrieren und Wieder-Auftauen verursacht ausgeprägte Artefakte und ist abzulehnen. Die Beurteilung der Plazenta stellt eine unverzichtbare Ergänzung der fetalen Autopsie dar.
Makroskopie
Befund
Pathologischer Befund
Normalbefund
Literatur
Datum
Ersteintrag: 14.10.2018
Update: 14.10.2018