Wichtiger Sicherheitshinweis: Pathorama wurde zwischen dem 26. und 27. Dezember 2025 angegriffen. Falls Sie die Website in diesem Zeitraum besucht haben, lesen Sie bitte die wichtigen Informationen hier:
Zur Information

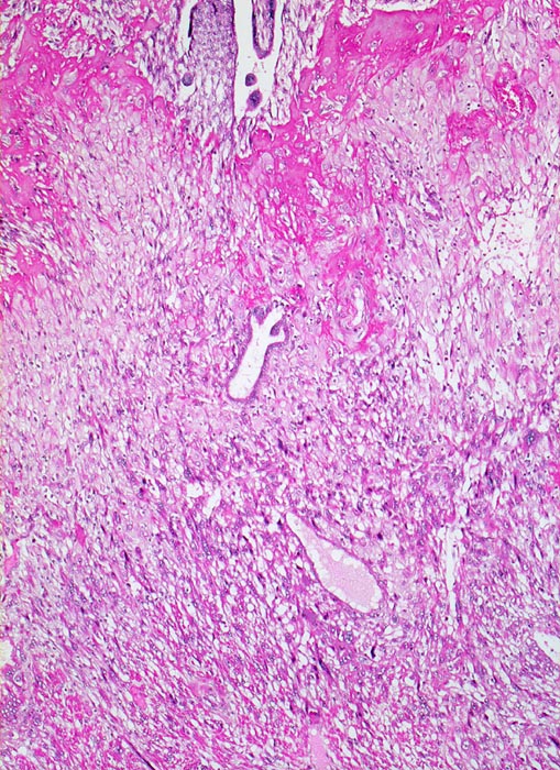
PathoPic – image database / PathoPic ID 5213 - Gravidität

de
Diagnose
Gravidität
Diagnose Gruppe
Normalbefund
Topographie
Plazenta
Topographie Gruppe
Paidopathologie
Beschreibung
Oben im Bild Anschnitte des proliferierten Trophoblast der Haftzotten. Daran angrenzend eine homogene rote Schicht von Fibrinoid und darunter die Infiltrationszone des intermediären extravillösen Trophoblast im Bereich der Dezidua. Die hellen blasigen Zellen entsprechen der Dezidua. Diese wird infiltriert von intermediären Trophoblastzellen mit dunklem Zytoplasma und grossen hyperchromatischen Kernen.
Klinik
11. Schwangerschaftswoche. Normale Schwangerschaft
Bilder Typ
Histologie
Vergrösserung
50
Alter
0.212
Geschlecht
unbekannt
Datum
Ersteintrag: 23.07.2002