Wichtiger Sicherheitshinweis: Pathorama wurde zwischen dem 26. und 27. Dezember 2025 angegriffen. Falls Sie die Website in diesem Zeitraum besucht haben, lesen Sie bitte die wichtigen Informationen hier:
Zur Information

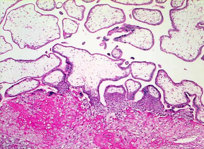
PathoPic – image database / PathoPic ID 5214 - Gravidität: Haftzotten

de
Diagnose
Gravidität: Haftzotten
Diagnose Gruppe
Normalbefund
Topographie
Plazenta
Topographie Gruppe
Paidopathologie
Beschreibung
Unten im Bild die hellen zytoplasmareichen Zellen der Dezidua durchmischt mit einer Schicht von hypereosinophilem Fibrinoid. Ein Teil der Zotten, die Haftzotten, sind über proliferiertes Trophoblastepithel mit der Dezidua verankert. Kernknospe.
Klinik
11. Schwangerschaftswoche. Normale Schwangerschaft
Kommentar
Kernknospen sind knospenförmige Ansammlungen von Kernen an der Zottenoberfläche. Sie treten in jeder normalen Plazenta auf. Sie sind gehäuft anzutreffen im Randbezirk von Infarkten und bei vermindertem Sauerstoffangebot (sogenanntes Tenney Parker Zeichen)
Bilder Typ
Histologie
Vergrösserung
50
Alter
0.212
Geschlecht
unbekannt
Datum
Ersteintrag: 23.07.2002