Wichtiger Sicherheitshinweis:
Pathorama wurde zwischen dem
26. und 27. Dezember 2025
angegriffen. Falls Sie die Website in diesem Zeitraum besucht haben, lesen Sie bitte die wichtigen Informationen hier:
Zur Information
Pathopic
HiPaKu
ZyPaKu
Projektinfos
PathoPic - Projekt- und Copyright-Info
About
Pathopic
HiPaKu
ZyPaKu
PathoPic – image database
/
PathoPic ID 5216 - Gravidität: Haftzotten
de
Diagnose
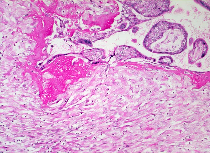
Gravidität: Haftzotten
Diagnose Gruppe
Normalbefund
Topographie
Plazenta
Topographie Gruppe
Paidopathologie
Beschreibung
Unten im Bild die hellen zytoplasmareichen Deziduazellen mit vesikulären Kernen.
Fibrinoidschicht an der Deziduaoberfläche.
Kernknospe.
Klinik
11. Schwangerschaftswoche. Normale Schwangerschaft
Bilder Typ
Histologie
Vergrösserung
100
Alter
0.212
Geschlecht
unbekannt
Datum
Ersteintrag: 23.07.2002
CPS
·
©
2025 Institut für Pathologie Basel
/
Dr. med. Katharina Glatz-Krieger
.
·
v2.2